| UNIPROT | P09564 |
Anti-CD7 Antibody (R3B64) (RHC41804)
Реактивность подтвержденная:
человек
Источник (хозяин):
мышь
Валидировано для:
ELISA
FCM
IHC
Характеристики
Техническое описание
| Русское название | RHC41804 Моноклональное антитело к CD7 (R3B64) <AntibodySystem,Китай> |
| Каталожный номер | RHC41804 |
| Название антигена | Cluster Of Differentiation 7 (CD7) |
| UNIPROT | P09564 |
| Английские синонимы | CD-7, CD 7, GP40, LEU9, TP41, Tp40, p41 Protein, T-cell Antigen CD7, T-cell Leukemia Antigen, T-cell surface antigen Leu-9 |
| Русские синонимы | Кластер дифференцировки 7 |
Реактивность подтвержденная Нужна другая реактивность? |
человек |
| Источник (хозяин) | мышь |
| Изотип | IgG1 |
| Клональность | моноклональное |
| Клон | R3B64 |
| Рекомбинантное | да |
| Готовое к использованию | нет |
| Концентрация | 1 мг/мл |
| Конъюгат | нет |
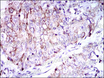
| Валидировано для | ELISA FCM IHC Иммуноферментный анализ; Проточная цитометрия; Иммуногистохимия |
| Рекомендуемые разведения | ELISA: 1:10000, FCM: 1:200-1:400, IHC: 1:200-1:1000 |
| Метод очистки | Очистка с белками A/G из супернатанта клеточной культуры |
| Чистота | >95% |
| Состав буфера | 0.01M PBS, pH 7.4, 0.05% натрия азид |
| Условия доставки | термобокс с аккумуляторами холода |
| Условия хранения | Хранить при 4°C не более 1-2 недель. Хранить при -20°C - 12 месяцев |
| Срок хранения | 12 месяцев |
| Производитель | AntibodySystem |
| Ссылка на страницу товара на сайте производителя | https://www.antibodysystem.com/product/34845.html |
|
Артикул
|
Наименование |
Производитель
|
|---|
|
Артикул
|
Наименование |
Производитель
|
|---|
|
Артикул
|
Наименование |
Производитель
|
|---|
|
Артикул
|
Наименование |
Производитель
|
|---|
Акции и предложения
Популярные продукты:
Goat Lymphocyte antigen 86 ELISA kit (E06L1200)
Организм: коза
Rat Fibulin 3(FBLN3) ELISA kit (E02F0394)
Организм: крыса
Human Fibulin 3(FBLN3) ELISA kit (E01F0394)
Организм: человек
Goat Caprin 2(CAPRIN2) ELISA kit (E06C1369)
Организм: коза
Monkey Ganglioside GM1 ELISA Kit (E09G0685)
Организм: обезьяна
Chicken Defensin Beta 103A ELISA kit (E12D0332)
Организм: курица

