| UNIPROT | P27701 |
Anti-CD82 Antibody (R3H39) (RHD74902)
Реактивность подтвержденная:
человек, мышь
Источник (хозяин):
мышь
Валидировано для:
ELISA
FCM
IHC
Характеристики
Техническое описание
| Русское название | RHD74902 Моноклональное антитело к CD82 (R3H39) <AntibodySystem,Китай> |
| Каталожный номер | RHD74902 |
| Название антигена | Tetraspanin 27 (TSPAN27) |
| UNIPROT | P27701 |
| Английские синонимы | CD82, CD 82, CD-82, R2, IA4, 4F9, C33, GR15, KAI1, SAR2, ST6, Kangai 1, Suppression Of Tumorigenicity 6,prostate), R2 Leukocyte Antigen, Antigen Detected By Monoclonal And Antibody IA4 |
Реактивность подтвержденная Нужна другая реактивность? |
человек, мышь |
| Источник (хозяин) | мышь |
| Изотип | IgG2a |
| Клональность | моноклональное |
| Клон | R3H39 |
| Рекомбинантное | да |
| Готовое к использованию | нет |
| Концентрация | 1 мг/мл |
| Конъюгат | нет |
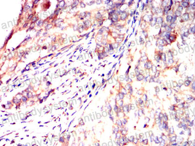
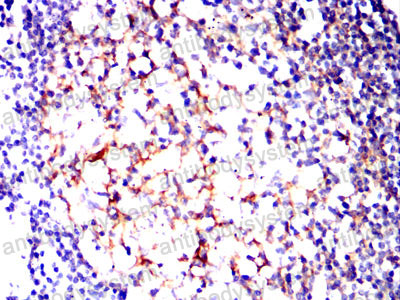
| Валидировано для | ELISA FCM IHC Иммуноферментный анализ; Проточная цитометрия; Иммуногистохимия |
| Рекомендуемые разведения | ELISA: 1:10000, FCM: 1:200-1:400, IHC: 1:200-1:1000 |
| Метод очистки | Очистка с белками A/G из супернатанта клеточной культуры |
| Чистота | >95% |
| Состав буфера | 0.01M PBS, pH 7.4, 0.05% натрия азид |
| Условия хранения | Хранить при 4°C не более 1-2 недель. Хранить при -20°C - 12 месяцев |
| Срок хранения | 12 месяцев |
| Производитель | AntibodySystem |
| Ссылка на страницу товара на сайте производителя | https://www.antibodysystem.com/product/35414.html |
|
Артикул
|
Наименование |
Производитель
|
|---|
|
Артикул
|
Наименование |
Производитель
|
|---|
Акции и предложения
Популярные продукты:
Canine Cocaine esterase(CES2) ELISA kit (E08C1624)
Организм: собака
ELISA Kit DIY Materials for Tripeptidyl Peptidase I (TPP1) (KSC828Mu01)
Организм: мышь
Диапазон определения: 0.156-10 нг/мл
Чувствительность: 0.054 нг/мл
Диапазон определения: 0.156-10 нг/мл
Чувствительность: 0.054 нг/мл
Monoclonal Antibody to Vinculin (VCL) (MAB839Hu23)
Источник (хозяин): мышь
Реактивность подтвержденная: человек
Валидировано для: WB
Реактивность подтвержденная: человек
Валидировано для: WB
Monkey Anti Filaggrin Antibody ELISA kit (E09A0428)
Организм: обезьяна
Rabbit Carbamazepine ELISA kit (E04C2722)
Организм: кролик

