| UNIPROT | O14579 |
Anti-COPE Antibody (R2T74) (RHA23001)
Реактивность подтвержденная:
человек
Источник (хозяин):
мышь
Валидировано для:
IHC
Характеристики
Техническое описание
| Русское название | RHA23001 Моноклональное антитело к COPE (R2T74) <AntibodySystem,Китай> |
| Каталожный номер | RHA23001 |
| Название антигена | Coatomer Protein Complex Subunit Epsilon (COPe) |
| UNIPROT | O14579 |
| Английские синонимы | Epsilon-COP, Epsilon-coat protein |
Реактивность подтвержденная Нужна другая реактивность? |
человек |
| Источник (хозяин) | мышь |
| Изотип | IgG1 |
| Клональность | моноклональное |
| Клон | R2T74 |
| Рекомбинантное | да |
| Готовое к использованию | нет |
| Концентрация | 1 мг/мл |
| Конъюгат | нет |
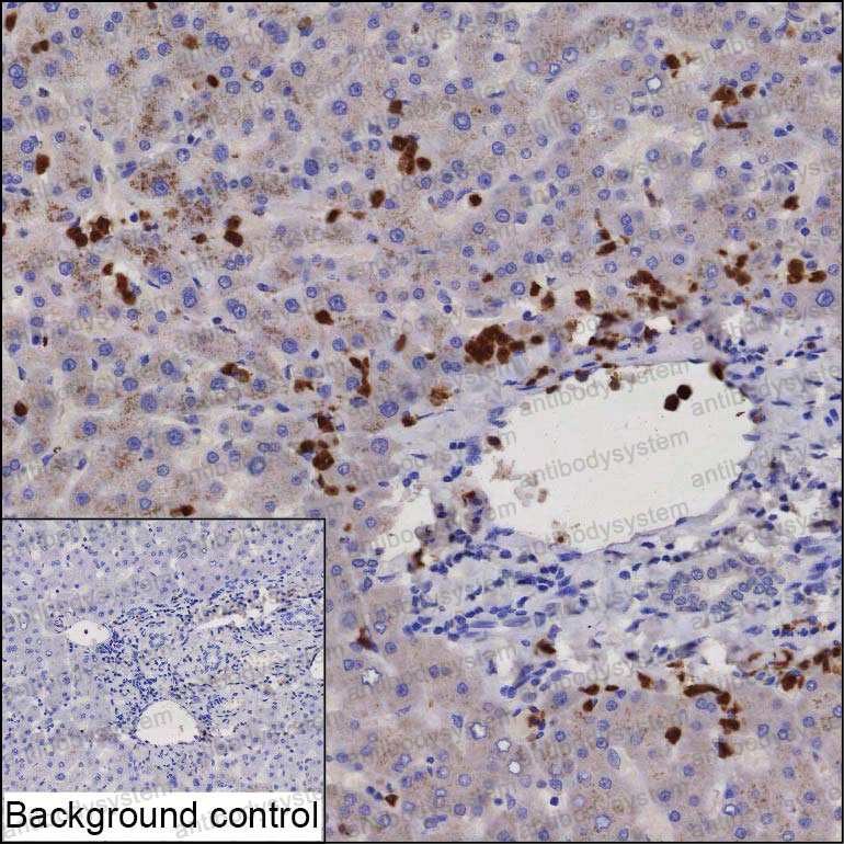
| Валидировано для | IHC Иммуногистохимия |
| Рекомендуемые разведения | IHC: 1:20-1:100 |
| Метод очистки | Очистка с белками A/G из супернатанта клеточной культуры |
| Чистота | >95% |
| Состав буфера | 0.01M PBS, pH 7.4, 0.05% натрия азид |
| Условия доставки | термобокс с аккумуляторами холода |
| Условия хранения | Хранить при 4°C не более 1-2 недель. Хранить при -20°C - 12 месяцев |
| Срок хранения | 12 месяцев |
| Производитель | AntibodySystem |
| Ссылка на страницу товара на сайте производителя | https://www.antibodysystem.com/product/34063.html |
|
Артикул
|
Наименование |
Производитель
|
|---|
|
Артикул
|
Наименование |
Производитель
|
|---|
Акции и предложения
Популярные продукты:
ELISA Kit for Myostatin (MSTN) (SEB653Mu)
Организм: мышь
Диапазон определения: 31.2-2000 пг/мл
Чувствительность: 12.9 пг/мл
Диапазон определения: 31.2-2000 пг/мл
Чувствительность: 12.9 пг/мл
ELISA Kit for Nuclear Receptor Subfamily 1, Group D, Member 1 (NR1D1) (SED945Hu)
Организм: человек
Диапазон определения: 31.2-2000 пг/мл
Чувствительность: 11.3 пг/мл
Диапазон определения: 31.2-2000 пг/мл
Чувствительность: 11.3 пг/мл
ELISA Kit DIY Materials for Plakophilin 1 (PKP1) (KSB921Hu01)
Организм: человек
Диапазон определения: 0.156-10 нг/мл
Чувствительность: 0.055 нг/мл
Диапазон определения: 0.156-10 нг/мл
Чувствительность: 0.055 нг/мл
Guinea Pig Trimeric intracellular cation channel type A(TMEM38A) ELISA kit (E05T0712)
Организм: морская свинка
Chicken Retinoic Acid Early Transcript 1L ELISA kit (E12R0358)
Организм: курица
Monkey Defensin β 2 ELISA kit (E09D0154)
Организм: обезьяна
Диапазон определения: 50-1000 пг/мл
Чувствительность: 1 пг/мл
Диапазон определения: 50-1000 пг/мл
Чувствительность: 1 пг/мл

