| UNIPROT | P00533 |
Anti-EGFR/ERBB1/HER1 Antibody (R2W76) (RHB86917)
Реактивность подтвержденная:
человек
Источник (хозяин):
мышь
Валидировано для:
ELISA
FCM
IHC
WB
Характеристики
Техническое описание
| Русское название | RHB86917 Моноклональное антитело к EGFR/ERBB1/HER1 (R2W76) <AntibodySystem,Китай> |
| Каталожный номер | RHB86917 |
| Название антигена | Epidermal Growth Factor Receptor (EGFR) |
| UNIPROT | P00533 |
| Английские синонимы | ErbB-1, ErbB1, ER1, ERB-B1, MENA, HER1, Erythroblastic Leukemia Viral(v-Erb-B)oncogene Homolog,Avian, Proto-oncogene c-ErbB-1, Receptor tyrosine-protein kinase erbB-1 |
| Русские синонимы | EGFR, ErbB-1 |
Реактивность подтвержденная Нужна другая реактивность? |
человек |
| Источник (хозяин) | мышь |
| Изотип | IgG1 |
| Клональность | моноклональное |
| Клон | R2W76 |
| Рекомбинантное | да |
| Готовое к использованию | нет |
| Концентрация | 1 мг/мл |
| Конъюгат | нет |
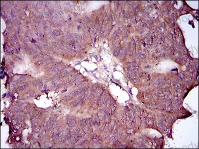
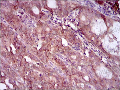
| Валидировано для | ELISA FCM IHC WB Иммуноферментный анализ; Проточная цитометрия; Иммуногистохимия; Вестерн-блоттинг |
| Рекомендуемые разведения | ELISA: 1:10000, FCM: 1:200-1:400, IHC: 1:200-1:1000, WB: 1:500-1:2000 |
| Метод очистки | Очистка с белками A/G из супернатанта клеточной культуры |
| Чистота | >95% |
| Состав буфера | 0.01M PBS, pH 7.4, 0.05% натрия азид |
| Условия доставки | термобокс с аккумуляторами холода |
| Условия хранения | Хранить при 4°C не более 1-2 недель. Хранить при -20°C - 12 месяцев |
| Срок хранения | 12 месяцев |
| Производитель | AntibodySystem |
| Ссылка на страницу товара на сайте производителя | https://www.antibodysystem.com/product/34362.html |
|
Артикул
|
Наименование |
Производитель
|
|---|
|
Артикул
|
Наименование |
Производитель
|
|---|
|
Артикул
|
Наименование |
Производитель
|
|---|
|
Артикул
|
Наименование |
Производитель
|
|---|
|
Артикул
|
Наименование |
Производитель
|
|---|
|
Артикул
|
Наименование |
Производитель
|
|---|
|
Артикул
|
Наименование |
Производитель
|
|---|
Акции и предложения
Популярные продукты:
Recombinant Bacillus anthracis PA/pagA/PA-83 Protein, N-His (YXX00402)
Источник (хозяин): B.subtilis
Организм: бактерии
Фрагмент: Glu30-Gly764
Теги: N-His
Биоактивность: нет
Организм: бактерии
Фрагмент: Glu30-Gly764
Теги: N-His
Биоактивность: нет
ELISA Kit DIY Materials for Receptor Tyrosine Kinase Like Orphan Receptor 1 (ROR1) (KSG522Hu01)
Организм: человек
Диапазон определения: 0.156-10 нг/мл
Чувствительность: 0.058 нг/мл
Диапазон определения: 0.156-10 нг/мл
Чувствительность: 0.058 нг/мл
Bovine Caskin 2(CASKIN2) ELISA kit (E11C1390)
Организм: корова
Rabbit Cystatin SN(CST1) ELISA kit (E04C2119)
Организм: кролик

