| UNIPROT | Q13541 |
Anti-EIF4EBP1 Antibody (R3S64) (RHG57904)
Реактивность подтвержденная:
человек
Источник (хозяин):
мышь
Валидировано для:
IHC
Характеристики
Техническое описание
| Русское название | RHG57904 Моноклональное антитело к EIF4EBP1 (R3S64) <AntibodySystem,Китай> |
| Каталожный номер | RHG57904 |
| Название антигена | Eukaryotic Translation Initiation Factor 4E Binding Protein 1 (EIF4EBP1) |
| UNIPROT | Q13541 |
| Английские синонимы | 4EBP1, BP-1, PHAS-I, Phosphorylated Heat And Acid-Stable Protein Regulated By Insulin 1 |
Реактивность подтвержденная Нужна другая реактивность? |
человек |
| Источник (хозяин) | мышь |
| Изотип | IgG1 |
| Клональность | моноклональное |
| Клон | R3S64 |
| Рекомбинантное | да |
| Готовое к использованию | нет |
| Концентрация | 1 мг/мл |
| Конъюгат | нет |
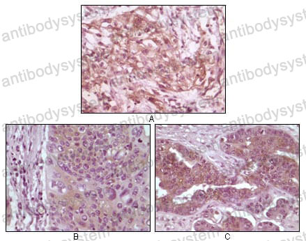
| Валидировано для | IHC Иммуногистохимия |
| Рекомендуемые разведения | IHC: 1:200-1:1000 |
| Метод очистки | Очистка с белками A/G из супернатанта клеточной культуры |
| Чистота | >95% |
| Состав буфера | 0.01M PBS, pH 7.4, 0.05% натрия азид |
| Условия хранения | Хранить при 4°C не более 1-2 недель. Хранить при -20°C - 12 месяцев |
| Срок хранения | 12 месяцев |
| Производитель | AntibodySystem |
| Ссылка на страницу товара на сайте производителя | https://www.antibodysystem.com/product/36329.html |
|
Артикул
|
Наименование |
Производитель
|
|---|
|
Артикул
|
Наименование |
Производитель
|
|---|
|
Артикул
|
Наименование |
Производитель
|
|---|
|
Артикул
|
Наименование |
Производитель
|
|---|
|
Артикул
|
Наименование |
Производитель
|
|---|
|
Артикул
|
Наименование |
Производитель
|
|---|
|
Артикул
|
Наименование |
Производитель
|
|---|
Акции и предложения
Популярные продукты:
Guinea Pig Glucagon Like Peptide 2 ELISA kit (E05G0032)
Организм: морская свинка
Anti-Bacillus subtilis ffp/sfp Polyclonal Antibody (PXX09001)
Источник (хозяин): кролик
Реактивность подтвержденная: бактерии
Валидировано для: ELISA, IHC, WB
Реактивность подтвержденная: бактерии
Валидировано для: ELISA, IHC, WB
Anti-EIF4EBP1 Antibody (R3S65) (RHG57905)
Источник (хозяин): мышь
Реактивность подтвержденная: человек
Валидировано для: IHC
Реактивность подтвержденная: человек
Валидировано для: IHC
Anti-EIF4EBP1 Antibody (R3S64) (RHG57904)
Источник (хозяин): мышь
Реактивность подтвержденная: человек
Валидировано для: IHC
Реактивность подтвержденная: человек
Валидировано для: IHC
ELISA Kit for Glucagon Like Peptide 2 (GLP2) (RD059C-Hu)
Организм: человек
Диапазон определения: 123.5-10000 пг/мл
Чувствительность: 52.1 пг/мл
Диапазон определения: 123.5-10000 пг/мл
Чувствительность: 52.1 пг/мл
Rituximab ELISA Kit (KDC90709)
Организм: человек
Диапазон определения: 31.25-2000 нг/мл
Чувствительность: 23.65 нг/мл
Диапазон определения: 31.25-2000 нг/мл
Чувствительность: 23.65 нг/мл

