| UNIPROT | P42262 |
Anti-GRIA2/GluR-2 Antibody (R1W12) (RHE34705)
Реактивность подтвержденная:
человек, крыса
Источник (хозяин):
кролик
Валидировано для:
IHC
IP
WB
Характеристики
Техническое описание
| Русское название | RHE34705 Моноклональное антитело к GRIA2/GluR-2 (R1W12) <AntibodySystem,Китай> |
| Каталожный номер | RHE34705 |
| Название антигена | Glutamate Receptor, Ionotropic, AMPA 2 (GRIA2) |
| UNIPROT | P42262 |
| Английские синонимы | GLUR2, GLURB, HBGR2, GluR-K2, AMPA-selective glutamate receptor 2 |
Реактивность подтвержденная Нужна другая реактивность? |
человек, крыса |
| Источник (хозяин) | кролик |
| Изотип | IgG |
| Клональность | моноклональное |
| Клон | R1W12 |
| Рекомбинантное | да |
| Готовое к использованию | нет |
| Концентрация | 1 мг/мл |
| Конъюгат | нет |
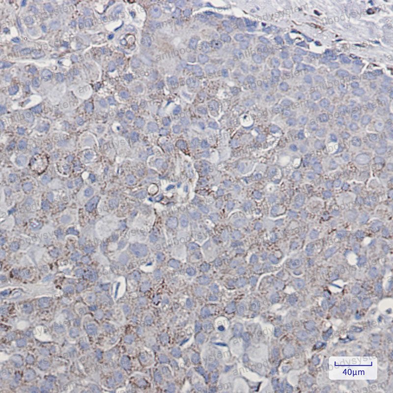
| Валидировано для | IHC IP WB Иммуногистохимия; Иммунопреципитация; Вестерн-блоттинг |
| Рекомендуемые разведения | IHC: 1:50-1:100, IP: 1:20, WB: 1:500-1:1000 |
| Метод очистки | Очистка с белками A/G из супернатанта клеточной культуры |
| Чистота | >95% |
| Состав буфера | 0.01M PBS, pH 7.4, 0.05% БСА, 50% глицерин, 0.05% азид натрия |
| Условия доставки | термобокс с аккумуляторами холода |
| Условия хранения | Хранить при -20 С -12 месяцев |
| Срок хранения | 12 месяцев |
| Производитель | AntibodySystem |
| Ссылка на страницу товара на сайте производителя | https://www.antibodysystem.com/product/31645.html |
|
Артикул
|
Наименование |
Производитель
|
|---|
|
Артикул
|
Наименование |
Производитель
|
|---|
|
Артикул
|
Наименование |
Производитель
|
|---|
|
Артикул
|
Наименование |
Производитель
|
|---|
|
Артикул
|
Наименование |
Производитель
|
|---|
Акции и предложения
Популярные продукты:
Human Xeroderma Pigmentosum, Complementation Group B ELISA kit (E01X0003)
Организм: человек
Диапазон определения: 2.5-50 нг/мл
Чувствительность: 0.1 нг/мл
Диапазон определения: 2.5-50 нг/мл
Чувствительность: 0.1 нг/мл
Rat Maspin(serpin B5) ELISA kit (E02M0026)
Организм: крыса
Mouse Transferrin ELISA kit (E03T0130)
Организм: мышь
Диапазон определения: 5-100 нг/мл
Чувствительность: 1 нг/мл
Диапазон определения: 5-100 нг/мл
Чувствительность: 1 нг/мл

