| UNIPROT | P49840 |
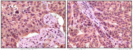
Anti-GSK3A Antibody (R3M04) (RHE72004)
Реактивность подтвержденная:
человек
Источник (хозяин):
мышь
Валидировано для:
IHC
Характеристики
Техническое описание
| Русское название | RHE72004 Моноклональное антитело к GSK3A (R3M04) <AntibodySystem,Китай> |
| Каталожный номер | RHE72004 |
| Название антигена | Glycogen Synthase Kinase 3 Alpha (GSK3a) |
| UNIPROT | P49840 |
| Английские синонимы | Serine/threonine-protein kinase GSK3A |
Реактивность подтвержденная Нужна другая реактивность? |
человек |
| Источник (хозяин) | мышь |
| Изотип | IgG2b |
| Клональность | моноклональное |
| Клон | R3M04 |
| Рекомбинантное | да |
| Готовое к использованию | нет |
| Концентрация | 1 мг/мл |
| Конъюгат | нет |
| Валидировано для | IHC Иммуногистохимия |
| Рекомендуемые разведения | IHC: 1:200-1:1000 |
| Метод очистки | Очистка с белками A/G из супернатанта клеточной культуры |
| Чистота | >95% |
| Состав буфера | 0.01M PBS, pH 7.4, 0.05% натрия азид |
| Условия хранения | Хранить при 4°C не более 1-2 недель. Хранить при -20°C - 12 месяцев |
| Срок хранения | 12 месяцев |
| Производитель | AntibodySystem |
| Ссылка на страницу товара на сайте производителя | https://www.antibodysystem.com/product/35775.html |
|
Артикул
|
Наименование |
Производитель
|
|---|
|
Артикул
|
Наименование |
Производитель
|
|---|
|
Артикул
|
Наименование |
Производитель
|
|---|
|
Артикул
|
Наименование |
Производитель
|
|---|
|
Артикул
|
Наименование |
Производитель
|
|---|
|
Артикул
|
Наименование |
Производитель
|
|---|
|
Артикул
|
Наименование |
Производитель
|
|---|
Акции и предложения
Популярные продукты:
OR56B4 Mouse Monoclonal Antibody (BF8521)
Источник (хозяин): мышь
Реактивность подтвержденная: человек, мышь
Валидировано для: ICC, IF, WB
Реактивность подтвержденная: человек, мышь
Валидировано для: ICC, IF, WB
C1QTNF9B Mouse Monoclonal Antibody (BF8647)
Источник (хозяин): мышь
Реактивность подтвержденная: человек, мышь, крыса
Валидировано для: WB
Реактивность подтвержденная: человек, мышь, крыса
Валидировано для: WB
Annexin VII Mouse Monoclonal Antibody (BF8827)
Источник (хозяин): мышь
Реактивность подтвержденная: человек, мышь, крыса
Валидировано для: WB
Реактивность подтвержденная: человек, мышь, крыса
Валидировано для: WB
Phospho-Synaptotagmin 1/2 (Ser309) Mouse Monoclonal Antibody (BF8567)
Источник (хозяин): мышь
Реактивность подтвержденная: человек, мышь, крыса
Валидировано для: WB
Реактивность подтвержденная: человек, мышь, крыса
Валидировано для: WB
GSK3 alpha Mouse Monoclonal Antibody (BF8170)
Источник (хозяин): мышь
Реактивность подтвержденная: человек, мышь, крыса
Валидировано для: WB
Реактивность подтвержденная: человек, мышь, крыса
Валидировано для: WB
Rat Testosterone, Free ELISA kit (E02T0561)
Организм: крыса
Диапазон определения: 100-2500 пг/мл
Чувствительность: 1 пг/мл
Диапазон определения: 100-2500 пг/мл
Чувствительность: 1 пг/мл

