| UNIPROT | P49841 |
Anti-GSK3B Antibody (R3M07) (RHE72103)
Реактивность подтвержденная:
человек, мышь, крыса, обезьяна
Источник (хозяин):
мышь
Валидировано для:
FCM
IF
IHC
WB
Характеристики
Техническое описание
| Русское название | RHE72103 Моноклональное антитело к GSK3B (R3M07) <AntibodySystem,Китай> |
| Каталожный номер | RHE72103 |
| Название антигена | Glycogen Synthase Kinase 3 Beta (GSK3b) |
| UNIPROT | P49841 |
| Английские синонимы | Serine/threonine-protein kinase GSK3B |
Реактивность подтвержденная Нужна другая реактивность? |
человек, мышь, крыса, обезьяна |
| Источник (хозяин) | мышь |
| Изотип | IgG2a |
| Клональность | моноклональное |
| Клон | R3M07 |
| Рекомбинантное | да |
| Готовое к использованию | нет |
| Концентрация | 1 мг/мл |
| Конъюгат | нет |
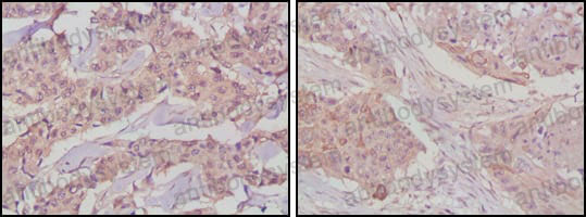
| Валидировано для | FCM IF IHC WB Проточная цитометрия; Иммунофлуоресценция; Иммуногистохимия; Вестерн-блоттинг |
| Рекомендуемые разведения | FCM: 1:200-1:400, IF: 1:200-1:1000, IHC: 1:200-1:1000, WB: 1:500-1:2000 |
| Метод очистки | Очистка с белками A/G из супернатанта клеточной культуры |
| Чистота | >95% |
| Состав буфера | 0.01M PBS, pH 7.4, 0.05% натрия азид |
| Условия хранения | Хранить при 4°C не более 1-2 недель. Хранить при -20°C - 12 месяцев |
| Срок хранения | 12 месяцев |
| Производитель | AntibodySystem |
| Ссылка на страницу товара на сайте производителя | https://www.antibodysystem.com/product/35778.html |
|
Артикул
|
Наименование |
Производитель
|
|---|
|
Артикул
|
Наименование |
Производитель
|
|---|
|
Артикул
|
Наименование |
Производитель
|
|---|
|
Артикул
|
Наименование |
Производитель
|
|---|
|
Артикул
|
Наименование |
Производитель
|
|---|
|
Артикул
|
Наименование |
Производитель
|
|---|
Акции и предложения
Популярные продукты:
Anti-Rat CD124/IL4R Antibody (Fs0362) (RRD62601)
Источник (хозяин): крыса
Реактивность подтвержденная: крыса
Валидировано для: ELISA, FCM, NEUT
Реактивность подтвержденная: крыса
Валидировано для: ELISA, FCM, NEUT
Anti-Human CD124/IL4R Antibody (Fs0374) (RHD62603)
Источник (хозяин): мышь
Реактивность подтвержденная: человек
Валидировано для: ELISA, FCM
Реактивность подтвержденная: человек
Валидировано для: ELISA, FCM
Chicken Acyloxyacyl hydrolase(AOAH) ELISA kit (E12A1552)
Организм: курица
Rat DNA Methyltransferase 3beta ELISA kit (E02D0322)
Организм: крыса

