| UNIPROT | P10144 |
Anti-GZMB Antibody (R3C02) (RHC79003)
Реактивность подтвержденная:
человек
Источник (хозяин):
мышь
Валидировано для:
ELISA
IHC
Характеристики
Техническое описание
| Русское название | RHC79003 Моноклональное антитело к GZMB (R3C02) <AntibodySystem,Китай> |
| Каталожный номер | RHC79003 |
| Название антигена | Granzyme B (GZMB) |
| UNIPROT | P10144 |
| Английские синонимы | GZM-B, HLP, CTLA1, CCPI, CGL1, CSP-B, CSPB, CTSGL1, SECT, Granzyme 2, Cytotoxic T-Lymphocyte-Associated Serine Esterase 1, Fragmentin 2, Cytotoxic Serine Protease B |
Реактивность подтвержденная Нужна другая реактивность? |
человек |
| Источник (хозяин) | мышь |
| Изотип | IgG2a |
| Клональность | моноклональное |
| Клон | R3C02 |
| Рекомбинантное | да |
| Готовое к использованию | нет |
| Концентрация | 1 мг/мл |
| Конъюгат | нет |
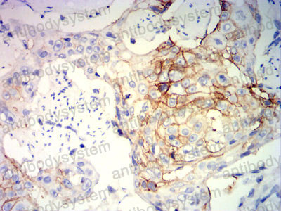
| Валидировано для | ELISA IHC Иммуноферментный анализ; Иммуногистохимия |
| Рекомендуемые разведения | ELISA: 1:10000, IHC: 1:200-1:1000 |
| Метод очистки | Очистка с белками A/G из супернатанта клеточной культуры |
| Чистота | >95% |
| Состав буфера | 0.01M PBS, pH 7.4, 0.05% натрия азид |
| Условия доставки | термобокс с аккумуляторами холода |
| Условия хранения | Хранить при 4°C не более 1-2 недель. Хранить при -20°C - 12 месяцев |
| Срок хранения | 12 месяцев |
| Производитель | AntibodySystem |
| Ссылка на страницу товара на сайте производителя | https://www.antibodysystem.com/product/34882.html |
|
Артикул
|
Наименование |
Производитель
|
|---|
|
Артикул
|
Наименование |
Производитель
|
|---|
|
Артикул
|
Наименование |
Производитель
|
|---|
|
Артикул
|
Наименование |
Производитель
|
|---|
Акции и предложения
Популярные продукты:
Ligelizumab ELlSA Kit (KDJ92702)
Организм: человек
Диапазон определения: 78.125 - 5,000 нг/мл
Чувствительность: 33.12 нг/мл
Диапазон определения: 78.125 - 5,000 нг/мл
Чувствительность: 33.12 нг/мл
Polyclonal Antibody to Solute Carrier Family 30 Member 8 (SLC30A8) (PAE490Hu03)
Источник (хозяин): кролик
Реактивность подтвержденная: человек
Валидировано для: ICC, IHC, WB
Реактивность подтвержденная: человек
Валидировано для: ICC, IHC, WB
Rat ABL interactor 1(ABI1) ELISA kit (E02A1156)
Организм: крыса
Sheep Activated CDC42 kinase 1(TNK2) ELISA kit (E14A2011)
Организм: овца

