| UNIPROT | O60741 |
Anti-HCN1 Antibody (R2V40) (RHA99303)
Реактивность подтвержденная:
человек
Источник (хозяин):
мышь
Валидировано для:
IHC
Характеристики
Техническое описание
| Русское название | RHA99303 Моноклональное антитело к HCN1 (R2V40) <AntibodySystem,Китай> |
| Каталожный номер | RHA99303 |
| Название антигена | Hyperpolarization Activated Cyclic Nucleotide Gated Potassium Channel 1 (HCN1) |
| UNIPROT | O60741 |
| Английские синонимы | BCNG1, HAC-2, Brain cyclic nucleotide-gated channel 1, Potassium/sodium hyperpolarization-activated cyclic nucleotide-gated channel 1 |
Реактивность подтвержденная Нужна другая реактивность? |
человек |
| Источник (хозяин) | мышь |
| Изотип | IgG1 |
| Клональность | моноклональное |
| Клон | R2V40 |
| Рекомбинантное | да |
| Готовое к использованию | нет |
| Концентрация | 1 мг/мл |
| Конъюгат | нет |
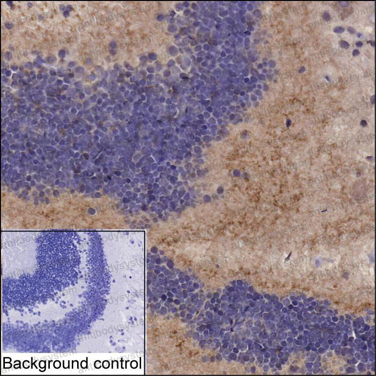
| Валидировано для | IHC Иммуногистохимия |
| Рекомендуемые разведения | IHC: 1:50-1:200 |
| Метод очистки | Очистка с белками A/G из супернатанта клеточной культуры |
| Чистота | >95% |
| Состав буфера | 0.01M PBS, pH 7.4, 0.05% натрия азид |
| Условия доставки | термобокс с аккумуляторами холода |
| Условия хранения | Хранить при 4°C не более 1-2 недель. Хранить при -20°C - 12 месяцев |
| Срок хранения | 12 месяцев |
| Производитель | AntibodySystem |
| Ссылка на страницу товара на сайте производителя | https://www.antibodysystem.com/product/34227.html |
|
Артикул
|
Наименование |
Производитель
|
|---|
|
Артикул
|
Наименование |
Производитель
|
|---|
|
Артикул
|
Наименование |
Производитель
|
|---|
Акции и предложения
Популярные продукты:
YB1 Mouse Monoclonal Antibody (BF8963)
Источник (хозяин): мышь
Реактивность подтвержденная: человек
Валидировано для: WB
Реактивность подтвержденная: человек
Валидировано для: WB
Guinea Pig Cyclic nucleotide gated olfactory channel(CNGA2) ELISA kit (E05C1845)
Организм: морская свинка
Canine casein Alpha s1 (CSN1S1) ELISA kit (E08C2100)
Организм: собака
Sheep Filamin B, β ELISA kit (E14F0100)
Организм: овца
Goat Carbonic Anhydrase 9(CA9) ELISA kit (E06C1291)
Организм: коза

