| UNIPROT | P0DMV8 |
Anti-HSPA1A Antibody (R3B95) (RHC69304)
Реактивность подтвержденная:
человек
Источник (хозяин):
мышь
Валидировано для:
IHC
IP
WB
Характеристики
Техническое описание
| Русское название | RHC69304 Моноклональное антитело к HSPA1A (R3B95) <AntibodySystem,Китай> |
| Каталожный номер | RHC69304 |
| Название антигена | Heat Shock 70kDa Protein 1A (HSPA1A) |
| UNIPROT | P0DMV8 |
| Английские синонимы | HSP70-1, HSP-A1A, HSPA1, HSP70-2, HSX70 |
Реактивность подтвержденная Нужна другая реактивность? |
человек |
| Источник (хозяин) | мышь |
| Изотип | IgG1 |
| Клональность | моноклональное |
| Клон | R3B95 |
| Рекомбинантное | да |
| Готовое к использованию | нет |
| Концентрация | 1 мг/мл |
| Конъюгат | нет |
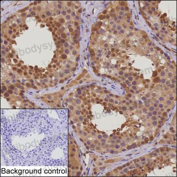
| Валидировано для | IHC IP WB Иммуногистохимия; Иммунопреципитация; Вестерн-блоттинг |
| Рекомендуемые разведения | IHC: 1:100-1:200, IP: 1:100-1:200, WB: 1:500-1:1000 |
| Метод очистки | Очистка с белками A/G из супернатанта клеточной культуры |
| Чистота | >95% |
| Состав буфера | 0.01M PBS, pH 7.4, 0.05% натрия азид |
| Условия доставки | термобокс с аккумуляторами холода |
| Условия хранения | Хранить при 4°C не более 1-2 недель. Хранить при -20°C - 12 месяцев |
| Срок хранения | 12 месяцев |
| Производитель | AntibodySystem |
| Ссылка на страницу товара на сайте производителя | https://www.antibodysystem.com/product/34876.html |
|
Артикул
|
Наименование |
Производитель
|
|---|
|
Артикул
|
Наименование |
Производитель
|
|---|
|
Артикул
|
Наименование |
Производитель
|
|---|
|
Артикул
|
Наименование |
Производитель
|
|---|
|
Артикул
|
Наименование |
Производитель
|
|---|
|
Артикул
|
Наименование |
Производитель
|
|---|
Акции и предложения
Популярные продукты:
PIWIL4 Antibody (DF7207)
Источник (хозяин): кролик
Реактивность подтвержденная: человек, мышь, крыса
Валидировано для: IHC, WB
Реактивность подтвержденная: человек, мышь, крыса
Валидировано для: IHC, WB
RNase H1 Antibody (DF12084)
Источник (хозяин): кролик
Реактивность подтвержденная: человек, мышь, крыса
Валидировано для: IHC, WB, IF, ICC
Реактивность подтвержденная: человек, мышь, крыса
Валидировано для: IHC, WB, IF, ICC
Guinea Pig Zinc finger protein neuro d4(DPF1) ELISA kit (E05Z0006)
Организм: морская свинка
Monkey Anamorsin(CIAPIN1) ELISA kit (E09A1813)
Организм: обезьяна
Mouse Anamorsin(CIAPIN1) ELISA kit (E03A1813)
Организм: мышь
Rat Anamorsin(CIAPIN1) ELISA kit (E02A1813)
Организм: крыса

