| UNIPROT | P01834 |
Anti-Human Kappa Light Chain Antibody (R3F49) (RHD36907)
Реактивность подтвержденная:
человек
Источник (хозяин):
мышь
Валидировано для:
IHC
Характеристики
Техническое описание
| Русское название | RHD36907 Моноклональное антитело к каппа-легкой цепи (R3F49) (человек) <AntibodySystem,Китай> |
| Каталожный номер | RHD36907 |
| Название антигена | Immunoglobulin Kappa (Igk) |
| UNIPROT | P01834 |
| Английские синонимы | IGKC, HCAK1, Km, Immunoglobulin Kappa Constant, IgA Kappa |
Реактивность подтвержденная Нужна другая реактивность? |
человек |
| Источник (хозяин) | мышь |
| Изотип | IgG1 |
| Клональность | моноклональное |
| Клон | R3F49 |
| Рекомбинантное | да |
| Готовое к использованию | нет |
| Концентрация | 1 мг/мл |
| Конъюгат | нет |
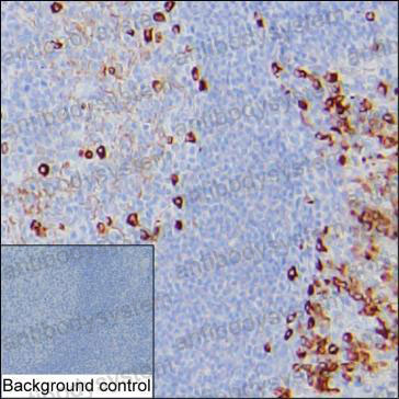
| Валидировано для | IHC Иммуногистохимия |
| Рекомендуемые разведения | IHC: 1:500-1:1000 |
| Метод очистки | Очистка с белками A/G из супернатанта клеточной культуры |
| Чистота | >95% |
| Состав буфера | 0.01M PBS, pH 7.4, 0.05% натрия азид |
| Условия доставки | термобокс с аккумуляторами холода |
| Условия хранения | Хранить при 4°C не более 1-2 недель. Хранить при -20°C - 12 месяцев |
| Срок хранения | 12 месяцев |
| Производитель | AntibodySystem |
| Ссылка на страницу товара на сайте производителя | https://www.antibodysystem.com/product/35226.html |
|
Артикул
|
Наименование |
Производитель
|
|---|
|
Артикул
|
Наименование |
Производитель
|
|---|
|
Артикул
|
Наименование |
Производитель
|
|---|
Акции и предложения
Популярные продукты:
Human Oxalic Acid ELISA kit (E01O0851)
Организм: человек
Rat Centrosomal protein of 290 kDa ELISA kit (E02C1618)
Организм: крыса
Rabbit Tubulin, gamma 1 ELISA kit (E04T0948)
Организм: кролик

