| UNIPROT | P0DOY2 |
Anti-Human Lambda Light Chain Antibody (R4B60) (RHN96401)
Реактивность подтвержденная:
человек
Источник (хозяин):
мышь
Валидировано для:
ELISA
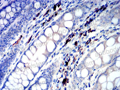
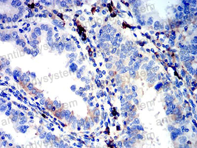
IHC
Характеристики
Техническое описание
| Русское название | RHN96401 Моноклональное антитело к лямбда-легкой цепи (R4B60) (человек) <AntibodySystem,Китай> |
| Каталожный номер | RHN96401 |
| Название антигена | Immunoglobulin Lambda 2 (Igl2) |
| UNIPROT | P0DOY2 |
| Английские синонимы | Iglc2, Ig lambda-2 chain C region, immunoglobulin lambda constant 2, Kern-Oz- marker |
Реактивность подтвержденная Нужна другая реактивность? |
человек |
| Источник (хозяин) | мышь |
| Изотип | IgG1 |
| Клональность | моноклональное |
| Клон | R4B60 |
| Рекомбинантное | да |
| Готовое к использованию | нет |
| Концентрация | 1 мг/мл |
| Конъюгат | нет |
| Валидировано для | ELISA IHC Иммуноферментный анализ; Иммуногистохимия |
| Рекомендуемые разведения | ELISA: 1:10000, IHC: 1:200-1:1000 |
| Метод очистки | Очистка с белками A/G из супернатанта клеточной культуры |
| Чистота | >95% |
| Состав буфера | 0.01M PBS, pH 7.4, 0.05% натрия азид |
| Условия хранения | Хранить при 4°C не более 1-2 недель. Хранить при -20°C - 12 месяцев |
| Срок хранения | 12 месяцев |
| Производитель | AntibodySystem |
| Ссылка на страницу товара на сайте производителя | https://www.antibodysystem.com/product/37216.html |
|
Артикул
|
Наименование |
Производитель
|
|---|
Акции и предложения
Популярные продукты:
NADPH Oxidase (NAO) Activity Colorimetric Assay Kit (E-BC-K815-M)
Организм: для всех
Диапазон определения: 0.27 Ед/л
Чувствительность: 0.27-43.43 Ед/л
Диапазон определения: 0.27 Ед/л
Чувствительность: 0.27-43.43 Ед/л
Rabbit Thyrotropin Releasing Hormone ELISA kit (E04T0328)
Организм: кролик
ELISA Kit for Syntenin 1 (ST1) (SEC837Hu)
Организм: человек
Диапазон определения: 0.156-10 нг/мл
Чувствительность: 0.062 нг/мл
Диапазон определения: 0.156-10 нг/мл
Чувствительность: 0.062 нг/мл
ELISA Kit DIY Materials for Tryptophan-2,3-dioxygenase (TDO) (KSE260Hu01)
Организм: человек
Диапазон определения: 0.156-10 нг/мл
Чувствительность: 0.057 нг/мл
Диапазон определения: 0.156-10 нг/мл
Чувствительность: 0.057 нг/мл
ELISA Kit DIY Materials for Discs, Large Homolog 4 (DLG4) (KSG168Mu01)
Организм: мышь
Диапазон определения: 0.156-10 нг/мл
Чувствительность: 0.059 нг/мл
Диапазон определения: 0.156-10 нг/мл
Чувствительность: 0.059 нг/мл
ELISA Kit DIY Materials for NADPH Oxidase 4 (NOX4) (KSB924Mu01)
Организм: мышь
Диапазон определения: 0.156-10 нг/мл
Чувствительность: 0.056 нг/мл
Диапазон определения: 0.156-10 нг/мл
Чувствительность: 0.056 нг/мл

