| UNIPROT | Q13422 |
Anti-IKZF1 Antibody (R2E31) (RHG52101)
Реактивность подтвержденная:
человек, хомяк
Источник (хозяин):
кролик
Валидировано для:
IHC
WB
Характеристики
Техническое описание
| Русское название | RHG52101 Моноклональное антитело к IKZF1 (R2E31) <AntibodySystem,Китай> |
| Каталожный номер | RHG52101 |
| Название антигена | IKAROS Family Zinc Finger Protein 1 (IKZF1) |
| UNIPROT | Q13422 |
| Английские синонимы | IK1, IKAROS, LYF1, ZNFN1A1, hIk-1, Lymphoid transcription factor LyF-1 |
Реактивность подтвержденная Нужна другая реактивность? |
человек, хомяк |
| Источник (хозяин) | кролик |
| Изотип | IgG |
| Клональность | моноклональное |
| Клон | R2E31 |
| Рекомбинантное | да |
| Готовое к использованию | нет |
| Концентрация | 1 мг/мл |
| Конъюгат | нет |
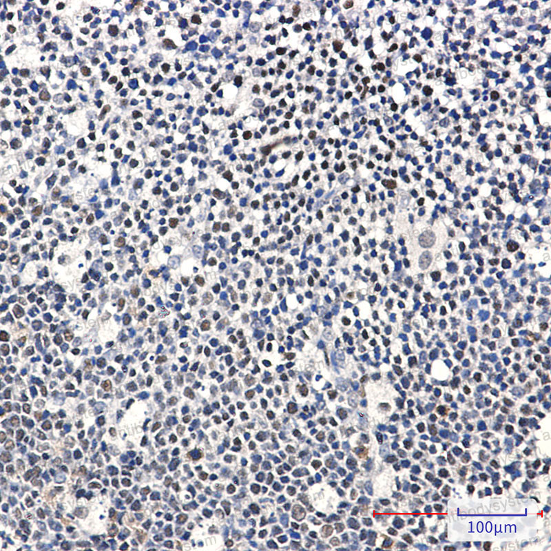
| Валидировано для | IHC WB Иммуногистохимия; Вестерн-блоттинг |
| Рекомендуемые разведения | IHC: 1:50-1:100, WB: 1:500-1:1000 |
| Метод очистки | Очистка с белками A/G из супернатанта клеточной культуры |
| Чистота | >95% |
| Состав буфера | 0.01M PBS, pH 7.4, 0.05% БСА, 50% глицерин, 0.05% азид натрия |
| Условия доставки | термобокс с аккумуляторами холода |
| Условия хранения | Хранить при -20 С -12 месяцев |
| Срок хранения | 12 месяцев |
| Производитель | AntibodySystem |
| Ссылка на страницу товара на сайте производителя | https://www.antibodysystem.com/product/32456.html |
|
Артикул
|
Наименование |
Производитель
|
|---|
|
Артикул
|
Наименование |
Производитель
|
|---|
Акции и предложения
Популярные продукты:
Human D aspartate oxidase(DDO) ELISA kit (E01D0280)
Организм: человек
Диапазон определения: 50-1000 пг/мл
Чувствительность: 1 пг/мл
Диапазон определения: 50-1000 пг/мл
Чувствительность: 1 пг/мл
Chicken Ammonium transporter Rh type B(RHBG) ELISA kit (E12A1064)
Организм: курица
Monkey Carbonic anhydrase 5B, mitochondrial(CA5B) ELISA kit (E09C1287)
Организм: обезьяна
Porcine Toll Like Receptor 6 ELISA kit (E07T0756)
Организм: свинья
Anti-Human TNFSF15/TL1A Antibody (3B3) (RHB54002)
Источник (хозяин): человек
Реактивность подтвержденная: человек
Валидировано для: ELISA, FCM
Реактивность подтвержденная: человек
Валидировано для: ELISA, FCM
Anti-BRIP1 Antibody (R4B84) (RHN97702)
Источник (хозяин): мышь
Реактивность подтвержденная: человек
Валидировано для: ELISA, FCM, IHC
Реактивность подтвержденная: человек
Валидировано для: ELISA, FCM, IHC

