| UNIPROT | O60674 |
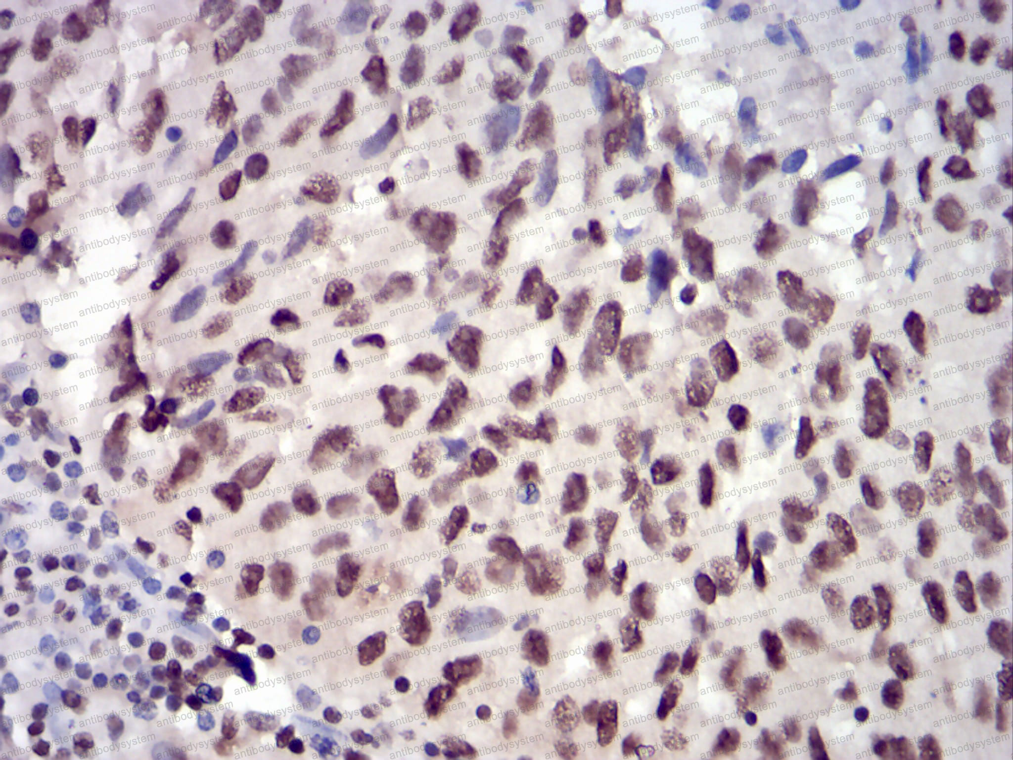
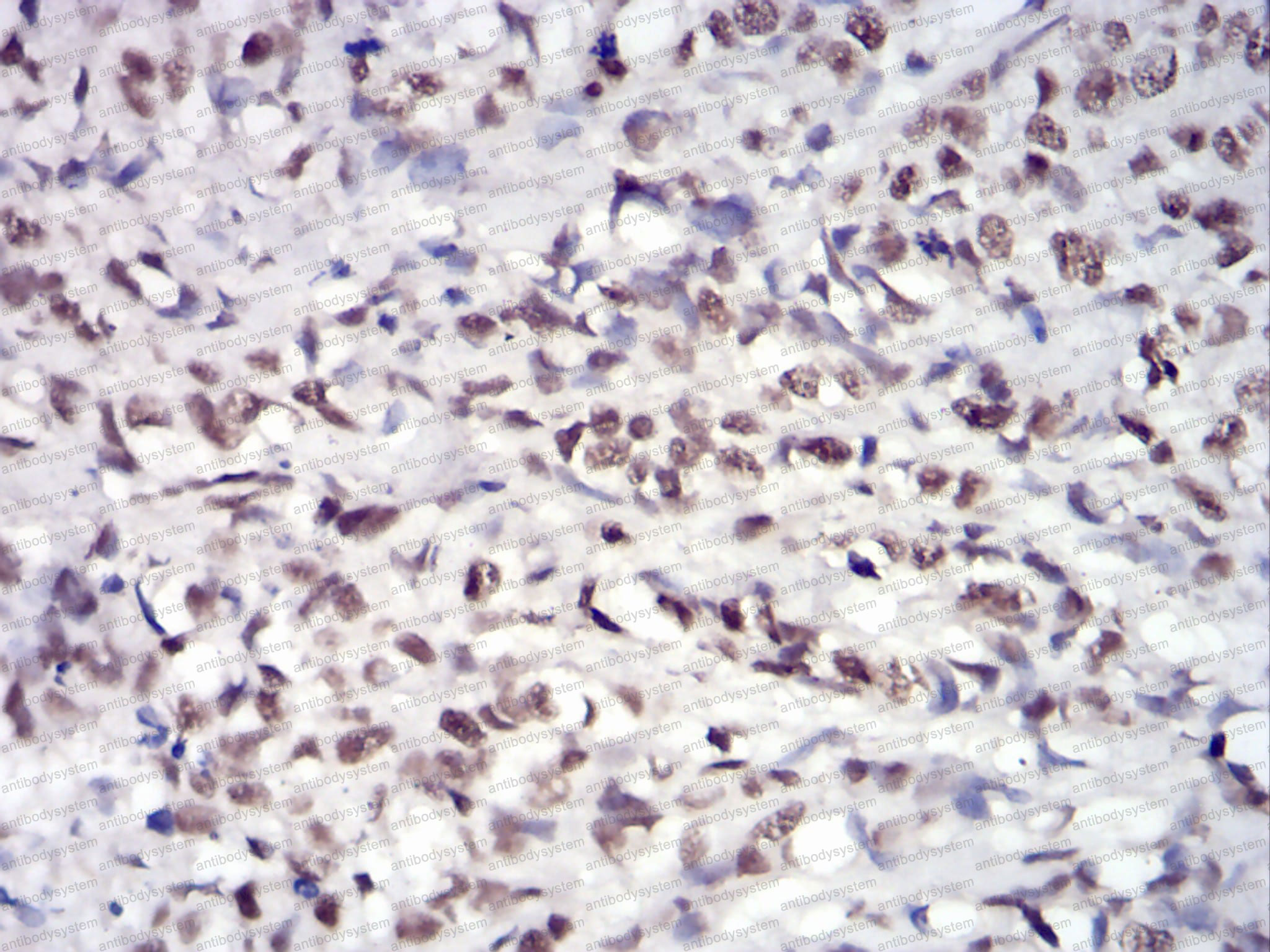
Anti-JAK2 Antibody (R2V35) (RHA97302)
Реактивность подтвержденная:
человек
Источник (хозяин):
мышь
Валидировано для:
ELISA
FCM
IHC
Характеристики
Техническое описание
| Русское название | RHA97302 Моноклональное антитело к JAK2 (R2V35) <AntibodySystem,Китай> |
| Каталожный номер | RHA97302 |
| Название антигена | Janus Kinase 2 (JAK2) |
| UNIPROT | O60674 |
| Английские синонимы | JTK10, Tyrosine-protein kinase JAK2 |
| Русские синонимы | JAK2 |
Реактивность подтвержденная Нужна другая реактивность? |
человек |
| Источник (хозяин) | мышь |
| Изотип | IgG1 |
| Клональность | моноклональное |
| Клон | R2V35 |
| Рекомбинантное | да |
| Готовое к использованию | нет |
| Концентрация | 1 мг/мл |
| Конъюгат | нет |
| Валидировано для | ELISA FCM IHC Иммуноферментный анализ; Проточная цитометрия; Иммуногистохимия |
| Рекомендуемые разведения | ELISA: 1:10000, FCM: 1:200-1:400, IHC: 1:200-1:1000 |
| Метод очистки | Очистка с белками A/G из супернатанта клеточной культуры |
| Чистота | >95% |
| Состав буфера | 0.01M PBS, pH 7.4, 0.05% натрия азид |
| Условия доставки | термобокс с аккумуляторами холода |
| Условия хранения | Хранить при 4°C не более 1-2 недель. Хранить при -20°C - 12 месяцев |
| Срок хранения | 12 месяцев |
| Производитель | AntibodySystem |
| Ссылка на страницу товара на сайте производителя | https://www.antibodysystem.com/product/34222.html |
|
Артикул
|
Наименование |
Производитель
|
|---|
|
Артикул
|
Наименование |
Производитель
|
|---|
|
Артикул
|
Наименование |
Производитель
|
|---|
|
Артикул
|
Наименование |
Производитель
|
|---|
|
Артикул
|
Наименование |
Производитель
|
|---|
|
Артикул
|
Наименование |
Производитель
|
|---|
|
Артикул
|
Наименование |
Производитель
|
|---|
Акции и предложения
Популярные продукты:
Chicken Dynamin 1 Like Protein ELISA kit (E12D0450)
Организм: курица
Canine Dynamin 1 Like Protein ELISA kit (E08D0450)
Организм: собака
Rat Dynamin 1 Like Protein ELISA kit (E02D0450)
Организм: крыса
Диапазон определения: 25 нг/мл
Диапазон определения: 25 нг/мл
Rat Palmdelphin ELISA kit (E02P0827)
Организм: крыса
Human Butyrophilin like protein 2(BTNL2) ELISA kit (E01B0872)
Организм: человек

