| UNIPROT | O60674 |
Anti-JAK2 Antibody (R2V36) (RHA97303)
Реактивность подтвержденная:
человек, мышь, крыса
Источник (хозяин):
мышь
Валидировано для:
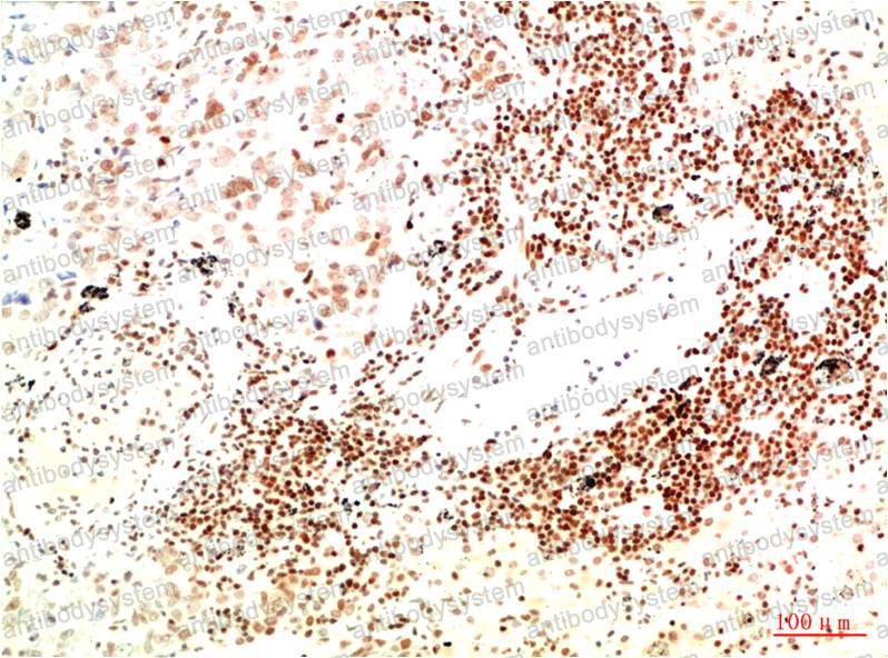
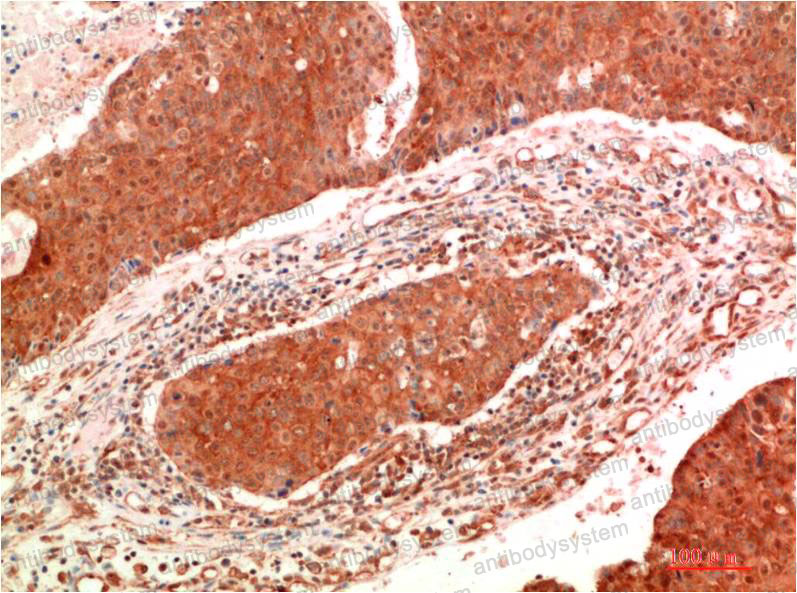
IHC
Характеристики
Техническое описание
| Русское название | RHA97303 Моноклональное антитело к JAK2 (R2V36) <AntibodySystem,Китай> |
| Каталожный номер | RHA97303 |
| Название антигена | Janus Kinase 2 (JAK2) |
| UNIPROT | O60674 |
| Английские синонимы | JTK10, Tyrosine-protein kinase JAK2 |
| Русские синонимы | JAK2 |
Реактивность подтвержденная Нужна другая реактивность? |
человек, мышь, крыса |
| Источник (хозяин) | мышь |
| Изотип | IgG1 |
| Клональность | моноклональное |
| Клон | R2V36 |
| Рекомбинантное | да |
| Готовое к использованию | нет |
| Концентрация | 1 мг/мл |
| Конъюгат | нет |
| Валидировано для | IHC Иммуногистохимия |
| Рекомендуемые разведения | IHC: 1:50-1:100 |
| Метод очистки | Очистка с белками A/G из супернатанта клеточной культуры |
| Чистота | >95% |
| Состав буфера | 0.01M PBS, pH 7.4, 0.5% БСА, 0.05% натрия азид,50% глицерин |
| Условия доставки | термобокс с аккумуляторами холода |
| Условия хранения | Хранить при 4°C не более 1-2 недель. Хранить при -20°C - 12 месяцев |
| Срок хранения | 12 месяцев |
| Производитель | AntibodySystem |
| Ссылка на страницу товара на сайте производителя | https://www.antibodysystem.com/product/34223.html |
|
Артикул
|
Наименование |
Производитель
|
|---|
|
Артикул
|
Наименование |
Производитель
|
|---|
|
Артикул
|
Наименование |
Производитель
|
|---|
|
Артикул
|
Наименование |
Производитель
|
|---|
|
Артикул
|
Наименование |
Производитель
|
|---|
|
Артикул
|
Наименование |
Производитель
|
|---|
|
Артикул
|
Наименование |
Производитель
|
|---|
Акции и предложения
Популярные продукты:
Anti-Mouse TNC Antibody (SAb2380) (RMD64001)
Источник (хозяин): мышь
Реактивность подтвержденная: мышь
Валидировано для: ELISA, IHC, SPR
Реактивность подтвержденная: мышь
Валидировано для: ELISA, IHC, SPR
Anti-Human CD63/LAMP3 Antibody (Fs0321), APC (FHC37632)
Источник (хозяин): мышь
Реактивность подтвержденная: человек
Валидировано для: ELISA, FCM, WB
Реактивность подтвержденная: человек
Валидировано для: ELISA, FCM, WB
Guinea Pig Progesterone receptor membrane component 2 ELISA kit (E05P1255)
Организм: морская свинка

