| UNIPROT | O60674 |
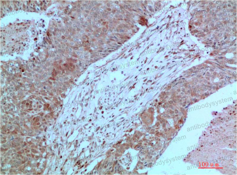
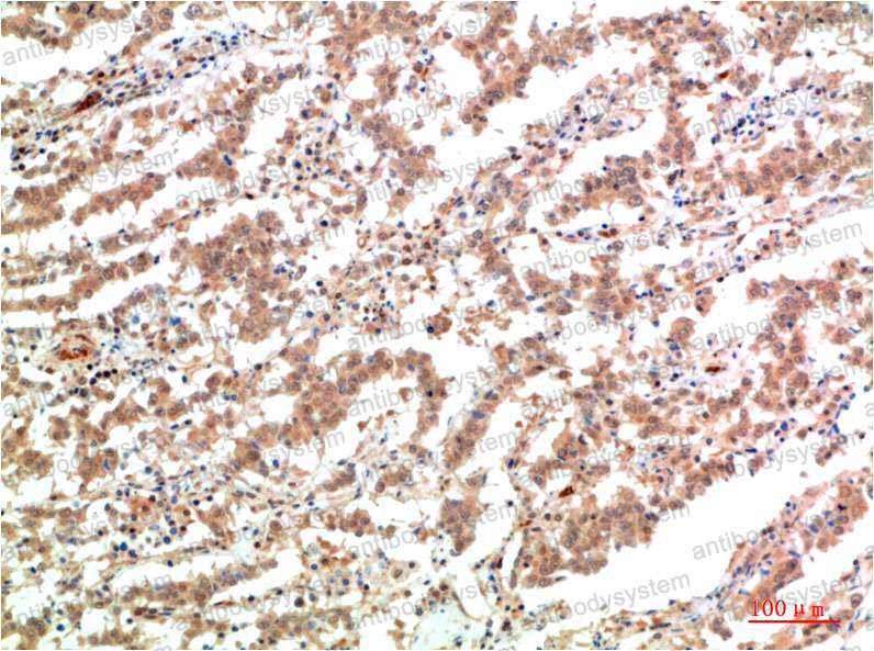
Anti-JAK2 Antibody (R2V37) (RHA97304)
Реактивность подтвержденная:
человек, мышь, крыса
Источник (хозяин):
мышь
Валидировано для:
IHC
Характеристики
Техническое описание
| Русское название | RHA97304 Моноклональное антитело к JAK2 (R2V37) <AntibodySystem,Китай> |
| Каталожный номер | RHA97304 |
| Название антигена | Janus Kinase 2 (JAK2) |
| UNIPROT | O60674 |
| Английские синонимы | JTK10, Tyrosine-protein kinase JAK2 |
| Русские синонимы | JAK2 |
Реактивность подтвержденная Нужна другая реактивность? |
человек, мышь, крыса |
| Источник (хозяин) | мышь |
| Изотип | IgG1 |
| Клональность | моноклональное |
| Клон | R2V37 |
| Рекомбинантное | да |
| Готовое к использованию | нет |
| Концентрация | 1 мг/мл |
| Конъюгат | нет |
| Валидировано для | IHC Иммуногистохимия |
| Рекомендуемые разведения | IHC: 1:50-1:100 |
| Метод очистки | Очистка с белками A/G из супернатанта клеточной культуры |
| Чистота | >95% |
| Состав буфера | 0.01M PBS, pH 7.4, 0.5% БСА, 0.05% натрия азид,50% глицерин |
| Условия доставки | термобокс с аккумуляторами холода |
| Условия хранения | Хранить при 4°C не более 1-2 недель. Хранить при -20°C - 12 месяцев |
| Срок хранения | 12 месяцев |
| Производитель | AntibodySystem |
| Ссылка на страницу товара на сайте производителя | https://www.antibodysystem.com/product/34224.html |
|
Артикул
|
Наименование |
Производитель
|
|---|
|
Артикул
|
Наименование |
Производитель
|
|---|
|
Артикул
|
Наименование |
Производитель
|
|---|
|
Артикул
|
Наименование |
Производитель
|
|---|
|
Артикул
|
Наименование |
Производитель
|
|---|
|
Артикул
|
Наименование |
Производитель
|
|---|
|
Артикул
|
Наименование |
Производитель
|
|---|
Акции и предложения
Популярные продукты:
Canine Dynamin 1 Like Protein ELISA kit (E08D0450)
Организм: собака
Human Dihydropyrimidinase-related protein 4 ELISA kit (E01D0318)
Организм: человек
Mouse Creatine Kinase, Muscle ELISA kit (E03C0400)
Организм: мышь
Anti-SARS-CoV-2 Spike Protein (Trimer) Human IgA ELISA Kit (KAV00110)
Организм: человек
Anti-JAK2 Antibody (R2V37) (RHA97304)
Источник (хозяин): мышь
Реактивность подтвержденная: человек, мышь, крыса
Валидировано для: IHC
Реактивность подтвержденная: человек, мышь, крыса
Валидировано для: IHC

