| UNIPROT | Q13541 |
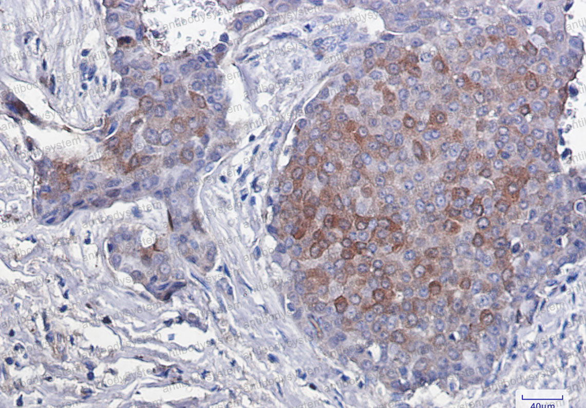
Anti-Phospho-EIF4EBP1 (Thr46) Antibody (R2E53) (RHG57902)
Реактивность подтвержденная:
человек, мышь, крыса
Источник (хозяин):
кролик
Валидировано для:
IHC
IP
WB
Характеристики
Техническое описание
| Русское название | RHG57902 Моноклональное антитело к фосфо-EIF4EBP1 (Thr46) (R2E53) <AntibodySystem,Китай> |
| Каталожный номер | RHG57902 |
| Название антигена | Eukaryotic Translation Initiation Factor 4E Binding Protein 1 (EIF4EBP1) |
| UNIPROT | Q13541 |
| Английские синонимы | 4EBP1, BP-1, PHAS-I, Phosphorylated Heat And Acid-Stable Protein Regulated By Insulin 1 |
Реактивность подтвержденная Нужна другая реактивность? |
человек, мышь, крыса |
| Источник (хозяин) | кролик |
| Изотип | IgG |
| Клональность | моноклональное |
| Клон | R2E53 |
| Рекомбинантное | да |
| Готовое к использованию | нет |
| Концентрация | 1 мг/мл |
| Конъюгат | нет |
| Валидировано для | IHC IP WB Иммуногистохимия; Иммунопреципитация; Вестерн-блоттинг |
| Рекомендуемые разведения | IHC: 1:50-1:100, IP: 1:20, WB: 1:500-1:1000 |
| Метод очистки | Очистка с белками A/G из супернатанта клеточной культуры |
| Чистота | >95% |
| Состав буфера | 0.01M PBS, pH 7.4, 0.05% БСА, 50% глицерин, 0.05% азид натрия |
| Условия доставки | термобокс с аккумуляторами холода |
| Условия хранения | Хранить при -20 С -12 месяцев |
| Срок хранения | 12 месяцев |
| Производитель | AntibodySystem |
| Ссылка на страницу товара на сайте производителя | https://www.antibodysystem.com/product/32478.html |
|
Артикул
|
Наименование |
Производитель
|
|---|
|
Артикул
|
Наименование |
Производитель
|
|---|
|
Артикул
|
Наименование |
Производитель
|
|---|
|
Артикул
|
Наименование |
Производитель
|
|---|
|
Артикул
|
Наименование |
Производитель
|
|---|
|
Артикул
|
Наименование |
Производитель
|
|---|
|
Артикул
|
Наименование |
Производитель
|
|---|
Акции и предложения
Популярные продукты:
Anti-Myxovirus Resistance 1 (MX1) Polyclonal Antibody (FAL763Hu01)
Источник (хозяин): кролик
Реактивность подтвержденная: человек
Валидировано для: FCM
Реактивность подтвержденная: человек
Валидировано для: FCM
ELISA Kit DIY Materials for Thiosulfate Sulfurtransferase (TST) (KSC817Mu01)
Организм: мышь
Диапазон определения: 0.156-10 нг/мл
Чувствительность: 0.059 нг/мл
Диапазон определения: 0.156-10 нг/мл
Чувствительность: 0.059 нг/мл
Monkey Vitamin D2 ELISA kit (E09V0029)
Организм: обезьяна
Anti-Drp1 Antibody (N131A/38) (RHA71601)
Источник (хозяин): мышь
Реактивность подтвержденная: для всех
Валидировано для: IHC, WB
Реактивность подтвержденная: для всех
Валидировано для: IHC, WB
Recombinant Rat CTGF/CCN2 Protein, N-His (YRD82301)
Источник (хозяин): E.coli
Организм: крыса
Фрагмент: Glu245-Ala347
Теги: N-His
Биоактивность: нет
Организм: крыса
Фрагмент: Glu245-Ala347
Теги: N-His
Биоактивность: нет
Recombinant Human DLST/OGDC-E2 Protein, N-His (YHE20101)
Источник (хозяин): E.coli
Организм: человек
Фрагмент: Met227-Leu453
Теги: N-His
Биоактивность: нет
Организм: человек
Фрагмент: Met227-Leu453
Теги: N-His
Биоактивность: нет

