| UNIPROT | P54619 |
Anti-PRKAG1 Antibody (R3N17) (RHF03904)
Реактивность подтвержденная:
человек
Источник (хозяин):
мышь
Валидировано для:
ELISA
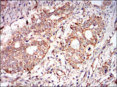
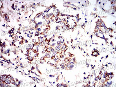
IHC
Характеристики
Техническое описание
| Русское название | RHF03904 Моноклональное антитело к PRKAG1 (R3N17) <AntibodySystem,Китай> |
| Каталожный номер | RHF03904 |
| Название антигена | Protein Kinase, AMP Activated Gamma 1 (PRKAg1) |
| UNIPROT | P54619 |
| Английские синонимы | AMPKG Non-Catalytic Subunit, 5"""-AMP-activated protein kinase subunit gamma-1 |
Реактивность подтвержденная Нужна другая реактивность? |
человек |
| Источник (хозяин) | мышь |
| Изотип | IgG1 |
| Клональность | моноклональное |
| Клон | R3N17 |
| Рекомбинантное | да |
| Готовое к использованию | нет |
| Концентрация | 1 мг/мл |
| Конъюгат | нет |
| Валидировано для | ELISA IHC Иммуноферментный анализ; Иммуногистохимия |
| Рекомендуемые разведения | ELISA: 1:10000, IHC: 1:200-1:1000 |
| Метод очистки | Очистка с белками A/G из супернатанта клеточной культуры |
| Чистота | >95% |
| Состав буфера | 0.01M PBS, pH 7.4, 0.05% натрия азид |
| Условия хранения | Хранить при 4°C не более 1-2 недель. Хранить при -20°C - 12 месяцев |
| Срок хранения | 12 месяцев |
| Производитель | AntibodySystem |
| Ссылка на страницу товара на сайте производителя | https://www.antibodysystem.com/product/35887.html |
|
Артикул
|
Наименование |
Производитель
|
|---|
|
Артикул
|
Наименование |
Производитель
|
|---|
|
Артикул
|
Наименование |
Производитель
|
|---|
Акции и предложения
Популярные продукты:
ELISA Kit DIY Materials for 2',5'-Oligoadenylate Synthetase 1 (OAS1) (KSC684Hu01)
Организм: человек
Диапазон определения: 4.7-300 нг/мл
Чувствительность: 1.7 нг/мл
Диапазон определения: 4.7-300 нг/мл
Чувствительность: 1.7 нг/мл
Porcine Tryptophane ELISA kit (E07T0140)
Организм: свинья
Sheep Glycoprotein VI, Platelet ELISA kit (E14G0224)
Организм: овца
Диапазон определения: 2.5-50 нг/мл
Чувствительность: 0.1 нг/мл
Диапазон определения: 2.5-50 нг/мл
Чувствительность: 0.1 нг/мл
Canine Glycoprotein VI, Platelet ELISA kit (E08G0224)
Организм: собака
Goat Glycoprotein VI, Platelet ELISA kit (E06G0224)
Организм: коза
Rat Glycoprotein VI, Platelet ELISA kit (E02G0224)
Организм: крыса

