| UNIPROT | Q8IUD6 |
Anti-RNF135 Antibody (R4C52) (RHP02701)
Реактивность подтвержденная:
человек
Источник (хозяин):
мышь
Валидировано для:
IHC
Характеристики
Техническое описание
| Русское название | RHP02701 Моноклональное антитело к RNF135 (R4C52) <AntibodySystem,Китай> |
| Каталожный номер | RHP02701 |
| Название антигена | Ring Finger Protein 135 (RNF135) |
| UNIPROT | Q8IUD6 |
| Английские синонимы | L13, REUL, Riplet, RIG-I E3 ubiquitin ligase |
Реактивность подтвержденная Нужна другая реактивность? |
человек |
| Источник (хозяин) | мышь |
| Изотип | IgG1 |
| Клональность | моноклональное |
| Клон | R4C52 |
| Рекомбинантное | да |
| Готовое к использованию | нет |
| Концентрация | 1 мг/мл |
| Конъюгат | нет |
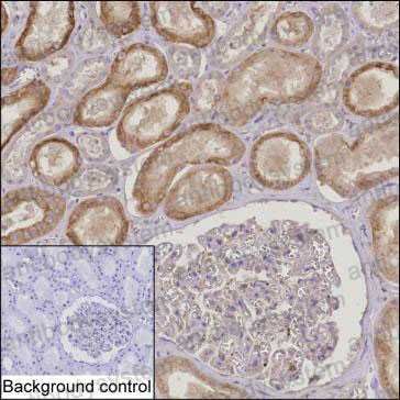
| Валидировано для | IHC Иммуногистохимия |
| Рекомендуемые разведения | IHC: 1:500 |
| Метод очистки | Очистка с белками A/G из супернатанта клеточной культуры |
| Чистота | >95% |
| Состав буфера | 0.01M PBS, pH 7.4, 0.05% натрия азид |
| Условия хранения | Хранить при 4°C не более 1-2 недель. Хранить при -20°C - 12 месяцев |
| Срок хранения | 12 месяцев |
| Производитель | AntibodySystem |
| Ссылка на страницу товара на сайте производителя | https://www.antibodysystem.com/product/37307.html |
|
Артикул
|
Наименование |
Производитель
|
|---|
Акции и предложения
Популярные продукты:
Hamster Cytochrome P450 3A1 Elisa kit (E18C2714)
Организм: хомяк
Диапазон определения: 2.5-50 нг/мл
Диапазон определения: 2.5-50 нг/мл
Rat Cytochrome P450 3A1 Elisa kit (E02C2714)
Организм: крыса
Диапазон определения: 2.5-50 нг/мл
Диапазон определения: 2.5-50 нг/мл
Recombinant Human Stanniocalcin 1/STC-1 (C-6His) (PKSH033893)
Источник (хозяин): HEK293
Организм: человек
Фрагмент: Thr18-Ala247
Теги: C-His
Биоактивность: нет
Организм: человек
Фрагмент: Thr18-Ala247
Теги: C-His
Биоактивность: нет

