| UNIPROT | P63208 |
Anti-SKP1 Antibody (R3P30) (RHF59703)
Реактивность подтвержденная:
человек
Источник (хозяин):
мышь
Валидировано для:
ELISA
FCM
IHC
WB
Характеристики
Техническое описание
| Русское название | RHF59703 Моноклональное антитело к SKP1 (R3P30) <AntibodySystem,Китай> |
| Каталожный номер | RHF59703 |
| Название антигена | S-Phase Kinase Associated Protein 1 (SKP1) |
| UNIPROT | P63208 |
| Английские синонимы | SKP1A, EMC19, OCP-II, OCP2, TCEB1L, p19A, Cyclin-A/CDK2-associated p19, RNA polymerase II elongation factor-like protein, Transcription elongation factor B polypeptide 1-like |
Реактивность подтвержденная Нужна другая реактивность? |
человек |
| Источник (хозяин) | мышь |
| Изотип | IgG1 |
| Клональность | моноклональное |
| Клон | R3P30 |
| Рекомбинантное | да |
| Готовое к использованию | нет |
| Концентрация | 1 мг/мл |
| Конъюгат | нет |
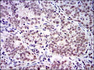
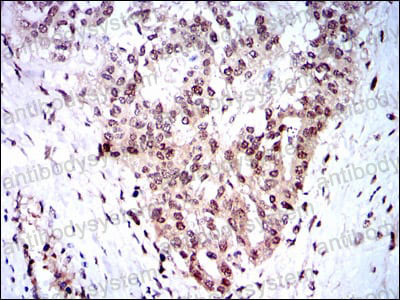
| Валидировано для | ELISA FCM IHC WB Иммуноферментный анализ; Проточная цитометрия; Иммуногистохимия; Вестерн-блоттинг |
| Рекомендуемые разведения | ELISA: 1:10000, FCM: 1:200-1:400, IHC: 1:200-1:1000, WB: 1:500-1:2000 |
| Метод очистки | Очистка с белками A/G из супернатанта клеточной культуры |
| Чистота | >95% |
| Состав буфера | 0.01M PBS, pH 7.4, 0.05% натрия азид |
| Условия хранения | Хранить при 4°C не более 1-2 недель. Хранить при -20°C - 12 месяцев |
| Срок хранения | 12 месяцев |
| Производитель | AntibodySystem |
| Ссылка на страницу товара на сайте производителя | https://www.antibodysystem.com/product/35999.html |
|
Артикул
|
Наименование |
Производитель
|
|---|
|
Артикул
|
Наименование |
Производитель
|
|---|
|
Артикул
|
Наименование |
Производитель
|
|---|
Акции и предложения
Популярные продукты:
InVivoMAb Anti-Mouse TIGIT Antibody (1G9) (VMH72405)
Источник (хозяин): мышь
Реактивность подтвержденная: мышь
Валидировано для: ELISA, FuncS
Реактивность подтвержденная: мышь
Валидировано для: ELISA, FuncS
Anti-Human CD138/SDC1 Antibody (Fs0317), FITC (FHD30821)
Источник (хозяин): мышь
Реактивность подтвержденная: человек
Валидировано для: ELISA, FCM, IF, WB
Реактивность подтвержденная: человек
Валидировано для: ELISA, FCM, IF, WB
Salbutamol/SAL ELISA Kit (KSN56503)
Организм: для всех
Диапазон определения: 1.56 - 100 нг/мл
Чувствительность: 0.5 нг/мл
Диапазон определения: 1.56 - 100 нг/мл
Чувствительность: 0.5 нг/мл
ELISA Kit DIY Materials for Natural Cytotoxicity Triggering Receptor 3 (NCR3) (KSB804Hu01)
Организм: человек
Диапазон определения: 15.6-1000 пг/мл
Чувствительность: 6.2 пг/мл
Диапазон определения: 15.6-1000 пг/мл
Чувствительность: 6.2 пг/мл
Monoclonal Antibody to Ubiquitin Cross Reactive Protein (UCRP) (MAL630Hu27)
Источник (хозяин): мышь
Реактивность подтвержденная: человек
Валидировано для: WB
Реактивность подтвержденная: человек
Валидировано для: WB
Monoclonal Antibody to Casein Alpha (CSN1) (MAJ333Bo27)
Источник (хозяин): мышь
Реактивность подтвержденная: корова
Валидировано для: WB
Реактивность подтвержденная: корова
Валидировано для: WB

