| UNIPROT | P20226 |
Anti-TBP Antibody (R3F54) (RHD38002)
Реактивность подтвержденная:
человек
Источник (хозяин):
мышь
Валидировано для:
ELISA
FCM
IF
IHC
WB
Характеристики
Техническое описание
| Русское название | RHD38002 Моноклональное антитело к TBP (R3F54) <AntibodySystem,Китай> |
| Каталожный номер | RHD38002 |
| Название антигена | TATA Binding Protein (TBP) |
| UNIPROT | P20226 |
| Английские синонимы | GTF2D, GTF2D1, SCA17, TFIID, TATA sequence-binding protein, TATA-box factor, Transcription initiation factor TFIID TBP subunit |
Реактивность подтвержденная Нужна другая реактивность? |
человек |
| Источник (хозяин) | мышь |
| Изотип | IgG1 |
| Клональность | моноклональное |
| Клон | R3F54 |
| Рекомбинантное | да |
| Готовое к использованию | нет |
| Концентрация | 1 мг/мл |
| Конъюгат | нет |
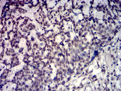
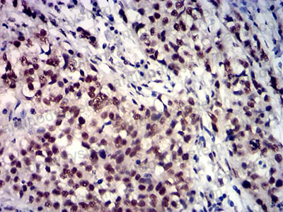
| Валидировано для | ELISA FCM IF IHC WB Иммуноферментный анализ; Проточная цитометрия; Иммунофлуоресценция; Иммуногистохимия; Вестерн-блоттинг |
| Рекомендуемые разведения | ELISA: 1:10000, FCM: 1:200-1:400, IF: 1:200-1:1000, IHC: 1:200-1:1000, WB: 1:500-1:2000 |
| Метод очистки | Очистка с белками A/G из супернатанта клеточной культуры |
| Чистота | >95% |
| Состав буфера | 0.01M PBS, pH 7.4, 0.05% натрия азид |
| Условия хранения | Хранить при 4°C не более 1-2 недель. Хранить при -20°C - 12 месяцев |
| Срок хранения | 12 месяцев |
| Производитель | AntibodySystem |
| Ссылка на страницу товара на сайте производителя | https://www.antibodysystem.com/product/35231.html |
|
Артикул
|
Наименование |
Производитель
|
|---|
|
Артикул
|
Наименование |
Производитель
|
|---|
|
Артикул
|
Наименование |
Производитель
|
|---|
|
Артикул
|
Наименование |
Производитель
|
|---|
Акции и предложения
Популярные продукты:
Monkey adrenomedullin 2 (ADM2) ELISA kit (E09A1275)
Организм: обезьяна
Canine Hexose-6-Phosphate Dehydrogenase ELISA kit (E08H1504)
Организм: собака
Guinea Pig Klotho ELISA kit (E05K0027)
Организм: морская свинка
Mouse Zonadhesin ELISA kit (E03Z0050)
Организм: мышь
Mouse Cerebellin 4(CBLN4) ELISA kit (E03C1410)
Организм: мышь

