| UNIPROT | Q96T88 |
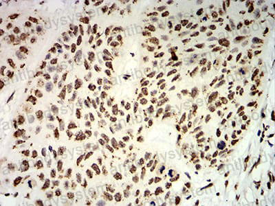
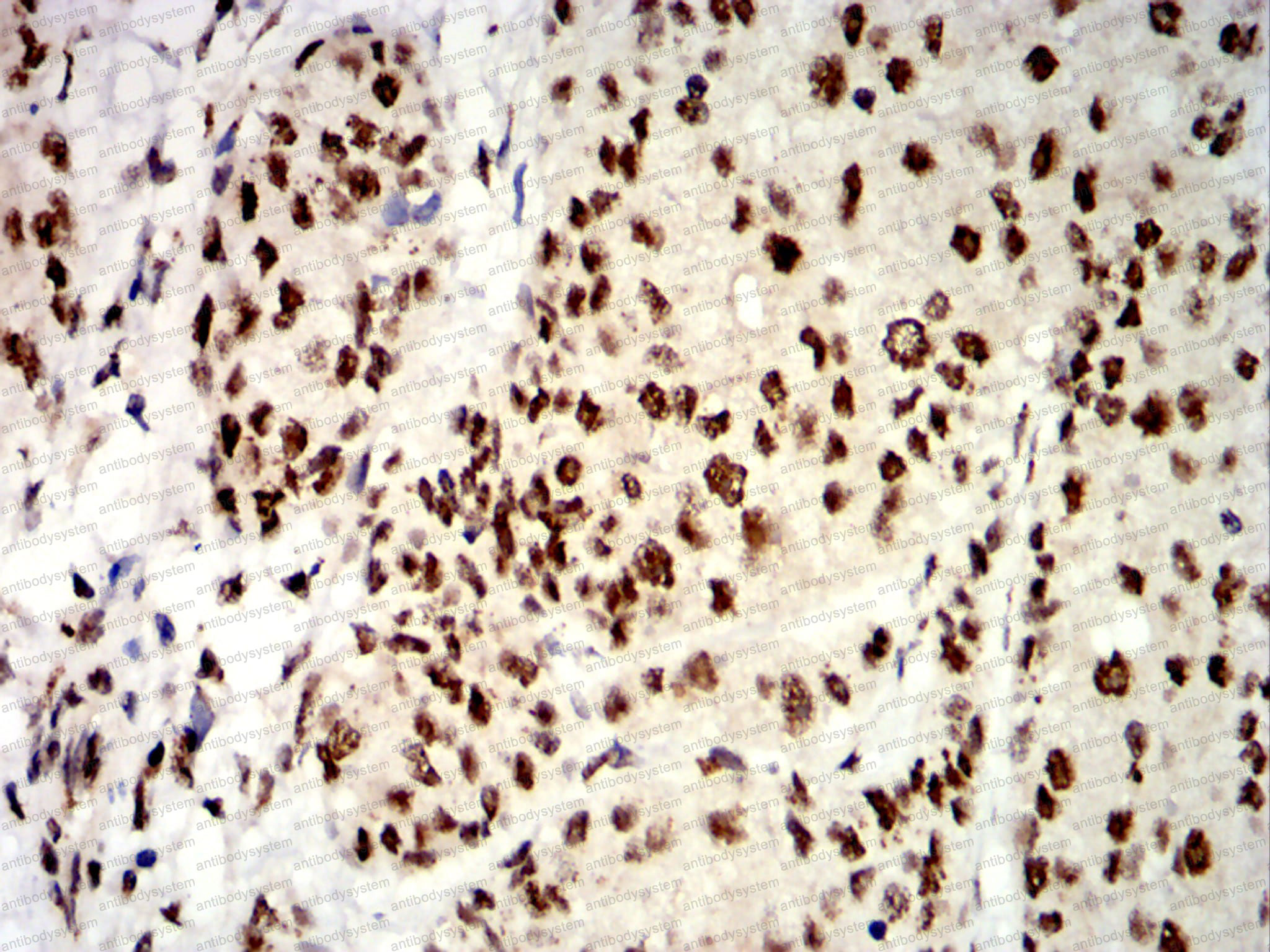
Anti-UHRF1 Antibody (R3Y94) (RHK42702)
Реактивность подтвержденная:
человек
Источник (хозяин):
мышь
Валидировано для:
ELISA
FCM
IF
IHC
WB
Характеристики
Техническое описание
| Русское название | RHK42702 Моноклональное антитело к UHRF1 (R3Y94) <AntibodySystem,Китай> |
| Каталожный номер | RHK42702 |
| Название антигена | Ubiquitin Like Containing PHD And Ring Finger Domains Protein 1 (UHRF1) |
| UNIPROT | Q96T88 |
| Английские синонимы | ICBP90, Np95, RNF106, Inverted CCAAT box-binding protein of 90 kDa, Nuclear zinc finger protein Np95, RING finger protein 106, Transcription factor ICBP90 |
Реактивность подтвержденная Нужна другая реактивность? |
человек |
| Источник (хозяин) | мышь |
| Изотип | IgG2b |
| Клональность | моноклональное |
| Клон | R3Y94 |
| Рекомбинантное | да |
| Готовое к использованию | нет |
| Концентрация | 1 мг/мл |
| Конъюгат | нет |
| Валидировано для | ELISA FCM IF IHC WB Иммуноферментный анализ; Проточная цитометрия; Иммунофлуоресценция; Иммуногистохимия; Вестерн-блоттинг |
| Рекомендуемые разведения | ELISA: 1:10000, FCM: 1:200-1:400, IF: 1:200-1:1000, IHC: 1:200-1:1000, WB: 1:500-1:2000 |
| Метод очистки | Очистка с белками A/G из супернатанта клеточной культуры |
| Чистота | >95% |
| Состав буфера | 0.01M PBS, pH 7.4, 0.05% натрия азид |
| Условия хранения | Хранить при 4°C не более 1-2 недель. Хранить при -20°C - 12 месяцев |
| Срок хранения | 12 месяцев |
| Производитель | AntibodySystem |
| Ссылка на страницу товара на сайте производителя | https://www.antibodysystem.com/product/36953.html |
|
Артикул
|
Наименование |
Производитель
|
|---|
|
Артикул
|
Наименование |
Производитель
|
|---|
Акции и предложения
Популярные продукты:
Anti-UHRF1 Antibody (R3Y94) (RHK42702)
Источник (хозяин): мышь
Реактивность подтвержденная: человек
Валидировано для: ELISA, FCM, IF, IHC, WB
Реактивность подтвержденная: человек
Валидировано для: ELISA, FCM, IF, IHC, WB
Anti-UHRF1 Antibody (R3Y93) (RHK42703)
Источник (хозяин): мышь
Реактивность подтвержденная: человек
Валидировано для: ELISA, IHC, WB
Реактивность подтвержденная: человек
Валидировано для: ELISA, IHC, WB
Anti-UHRF1 Antibody (R2M01) (RHK42701)
Источник (хозяин): кролик
Реактивность подтвержденная: человек
Валидировано для: IP, WB
Реактивность подтвержденная: человек
Валидировано для: IP, WB
Anti-CD3E Antibody (R1L15) (RHC27703)
Источник (хозяин): кролик
Реактивность подтвержденная: человек
Валидировано для: IHC, IP, WB
Реактивность подтвержденная: человек
Валидировано для: IHC, IP, WB
Multiplex Assay Kit for Nephroblastoma Overexpressed Gene (NOV) (LMG309Ra)
Организм: крыса
Диапазон определения: 0.0098-10 нг/мл
Чувствительность: 0.003 нг/мл
Диапазон определения: 0.0098-10 нг/мл
Чувствительность: 0.003 нг/мл
Biotin-Linked Polyclonal Antibody to S100 Calcium Binding Protein (S100) (LAA012Ra71)
Источник (хозяин): кролик
Реактивность подтвержденная: крыса
Валидировано для: IHC
Реактивность подтвержденная: крыса
Валидировано для: IHC

