| UNIPROT | Q9BQE5 |
| Иммуноген | Синтетический пептид, соответствующий human APOL2 на С-конце |
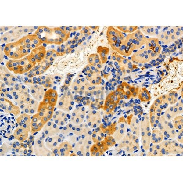
APOL2 Antibody (DF3786)
Реактивность подтвержденная:
человек, крыса
Источник (хозяин):
кролик
Валидировано для:
IHC
WB
IF
ICC
Характеристики
Техническое описание
| Каталожный номер | DF3786 |
| Название антигена | Apolipoprotein L2 (APOL2) |
| UNIPROT | Q9BQE5 |
| Иммуноген | Синтетический пептид, соответствующий human APOL2 на С-конце |
| Английские синонимы | Apo-L2, APOL-II |
| Русские синонимы | АпоL2 |
Реактивность подтвержденная Нужна другая реактивность? |
человек, крыса |
| Источник (хозяин) | кролик |
| Изотип | IgG |
| Клональность | поликлональное |
| Рекомбинантное | нет |
| Готовое к использованию | нет |
| Концентрация | 1 мг/мл |
| Конъюгат | нет |
| Валидировано для | IHC WB IF ICC Иммуногистохимия; Вестерн-блоттинг; Иммунофлуоресценция; Иммуноцитохимия |
| Рекомендуемые разведения | WB: 1:500-1:1000; IHC: 1:50-1:200; IF/ICC: 1:100-1:500; Оптимальное разведение определяется конечным потребителем |
| Метод очистки | Антисыворотку очищали методом аффинной хроматографии пептидов с использованием связывающей смолы SulfoLink® (Thermo Fisher Scientific) |
| Состав буфера | Rabbit IgG в PBS; pH 7.4; 150mM NaCl; 0.02% азид натрия и 50% глицерин |
| RRID | AB_2836143 |
| Условия доставки | Термобокс с аккумуляторами холода |
| Условия хранения | Хранить при -20ºС. Стабилен 12 месяцев с даты получения |
| Срок хранения | 12 месяцев |
| Производитель | Affinity |
| Ссылка на страницу товара на сайте производителя | https://www.affbiotech.com/goods-2918-DF3786-APOL2_Antibody.html |
|
Артикул
|
Наименование |
Производитель
|
|---|
Акции и предложения
Популярные продукты:
Sheep Arylsulfatase K(ARSK) ELISA kit (E14A1692)
Организм: овца
Bovine Thioredoxin reductase 2 ELISA kit (E11T0363)
Организм: корова
Canine Anti Endothelial Cell Antibody ELISA kit (E08A0434)
Организм: собака
Rat Glutathione Peroxidase 2 ELISA kit (E02G0616)
Организм: крыса
Anti-Apolipoprotein A1 (APOA1) Polyclonal Antibody (FAA519Po01)
Источник (хозяин): кролик
Реактивность подтвержденная: свинья
Валидировано для: FCM
Реактивность подтвержденная: свинья
Валидировано для: FCM
ELISA Kit for Angiotensin II (AngII) (CEA005Ra)
Организм: крыса
Диапазон определения: 24.69-2000 пг/мл
Чувствительность: 9.17 пг/мл
Диапазон определения: 24.69-2000 пг/мл
Чувствительность: 9.17 пг/мл

