| UNIPROT | P55064 |
| Иммуноген | Синтетический пептид, соответствующий human Aquaporin 5 |
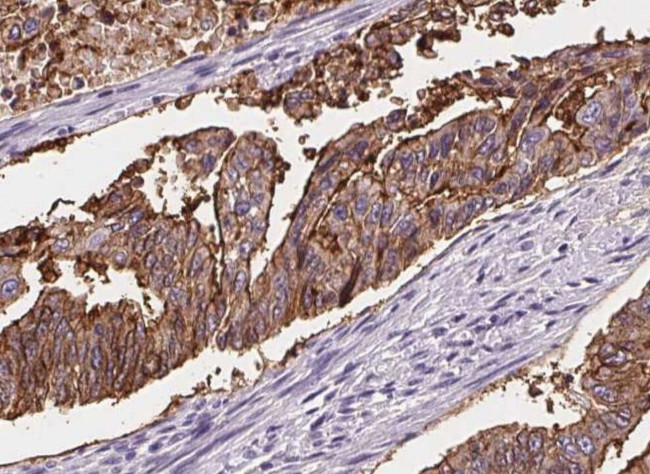
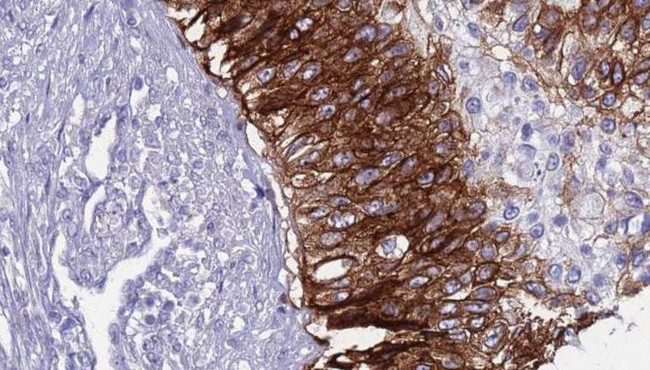
Aquaporin 5 Recombinant Rabbit mAb (ARM1171)
Реактивность подтвержденная:
человек
Источник (хозяин):
кролик
Валидировано для:
FCM
IHC
WB
IF
ICC
Характеристики
Техническое описание
| Каталожный номер | ARM1171 |
| Название антигена | Aquaporin 5 (AQP5) |
| UNIPROT | P55064 |
| Иммуноген | Синтетический пептид, соответствующий human Aquaporin 5 |
Реактивность подтвержденная Нужна другая реактивность? |
человек |
| Источник (хозяин) | кролик |
| Изотип | IgG |
| Клональность | моноклональное |
| Рекомбинантное | да |
| Готовое к использованию | нет |
| Концентрация | 1 мг/мл |
| Конъюгат | По запросу: HRP, biotin, Cy3, Cy5, APC, AF488, AF594, AF405 |
| Валидировано для | FCM IHC WB IF ICC Проточная цитометрия; Иммуногистохимия; Вестерн-блоттинг; Иммунофлуоресценция; Иммуноцитохимия |
| Рекомендуемые разведения | WB 1:500~1:2000; IHC 1:50~1:200; IF/ICC 1:50~1:200; FCM 1:50 |
| Метод очистки | Антигенспецифическая аффинная хроматография |
| Состав буфера | 50 нмоль Tris-Glycine(pH 7.4); 0.15M NaCl; 40% глицерин; 0.01% азид натрия и 0.05% БСА |
| Условия доставки | термобокс с аккумуляторами холода |
| Условия хранения | Сразу после получения аликвотировать и хранить при -20ºС до 12 месяцев с момента получения. Избегать повторения циклов замерзания/оттаивания |
| Срок хранения | 12 месяцев |
| Производитель | AssayVector |
|
Артикул
|
Наименование |
Производитель
|
|---|
|
Артикул
|
Наименование |
Производитель
|
|---|
|
Артикул
|
Наименование |
Производитель
|
|---|
|
Артикул
|
Наименование |
Производитель
|
|---|
|
Артикул
|
Наименование |
Производитель
|
|---|
Акции и предложения
Популярные продукты:
Anti-PHLPVa/Allergen Phl p Va Antibody (SAA0703) (RZZ02715)
Источник (хозяин): человек
Реактивность подтвержденная: растения
Валидировано для: ELISA
Реактивность подтвержденная: растения
Валидировано для: ELISA
Aquaporin 5 Recombinant Rabbit mAb (ARM1171)
Источник (хозяин): кролик
Реактивность подтвержденная: человек
Валидировано для: FCM, IHC, WB, IF, ICC
Реактивность подтвержденная: человек
Валидировано для: FCM, IHC, WB, IF, ICC
OVA Conjugated Kallikrein 10 (KLK10) (CPA697Mu21)
Организм: мышь
Фрагмент: Asp225-Thr240
Теги: N-концевой His-Tag
Биоактивность: нет
Фрагмент: Asp225-Thr240
Теги: N-концевой His-Tag
Биоактивность: нет
Recombinant Heterogeneous Nuclear Ribonucleoprotein A2/B1 (HNRPA2B1) (RPA323Hu01)
Источник (хозяин): E.coli
Организм: человек
Фрагмент: Arg21-Gly103
Теги: N-концевой His-Tag
Биоактивность: нет
Организм: человек
Фрагмент: Arg21-Gly103
Теги: N-концевой His-Tag
Биоактивность: нет
Rabbit Anti-NeuN Antibody (SAA2241) (RHA00601)
Источник (хозяин): кролик
Реактивность подтвержденная: человек, мышь, крыса
Валидировано для: FCM, ICC, IF, IHC, WB
Реактивность подтвержденная: человек, мышь, крыса
Валидировано для: FCM, ICC, IF, IHC, WB
Mouse Anti-SARS-CoV-2 S/Spike glycoprotein IgA Antibody (SAA2227) (RVV00326)
Источник (хозяин): мышь
Реактивность подтвержденная: вирусы
Валидировано для: ELISA
Реактивность подтвержденная: вирусы
Валидировано для: ELISA

