| UNIPROT | Q9BXP5 |
| Иммуноген | Синтетический пептид, соответствующий Human ARS2 |
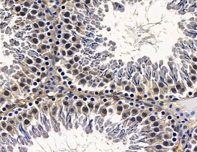
ARS2 Antibody (DF13941)
Реактивность подтвержденная:
человек, мышь, крыса
Источник (хозяин):
кролик
Валидировано для:
IHC
WB
Характеристики
Техническое описание
| Каталожный номер | DF13941 |
| Название антигена | Serrate (SRRT) |
| UNIPROT | Q9BXP5 |
| Иммуноген | Синтетический пептид, соответствующий Human ARS2 |
| Английские синонимы | Asr2, ARS2, Arsenite Resistance Protein 2, Serrate RNA Effector Molecule Homolog |
Реактивность подтвержденная Нужна другая реактивность? |
человек, мышь, крыса |
| Источник (хозяин) | кролик |
| Изотип | IgG |
| Клональность | поликлональное |
| Рекомбинантное | нет |
| Готовое к использованию | нет |
| Концентрация | 1 мг/мл |
| Конъюгат | нет |
| Валидировано для | IHC WB Иммуногистохимия; Вестерн-блоттинг |
| Рекомендуемые разведения | IHC: 1:50-1:200; WB: 1:500-1:2000; Оптимальное разведение определяется конечным потребителем |
| Метод очистки | Антисыворотку очищали методом аффинной хроматографии пептидов с использованием связывающей смолы SulfoLink® (Thermo Fisher Scientific) |
| Состав буфера | Rabbit IgG в PBS; pH 7.4; 150mM NaCl; 0.02% азид натрия и 50% глицерин |
| Условия доставки | Термобокс с аккумуляторами холода |
| Условия хранения | Хранить при -20ºС. Стабилен 12 месяцев с даты получения |
| Срок хранения | 12 месяцев |
| Производитель | Affinity |
| Ссылка на страницу товара на сайте производителя | https://www.affbiotech.com/goods-18376-DF13941-ARS2_Antibody.html |
|
Артикул
|
Наименование |
Производитель
|
|---|
|
Артикул
|
Наименование |
Производитель
|
|---|
Акции и предложения
Популярные продукты:
MYOZ1 Polyclonal Antibody (E-AB-14230)
Источник (хозяин): кролик
Реактивность подтвержденная: человек, мышь
Валидировано для: IHC, WB
Реактивность подтвержденная: человек, мышь
Валидировано для: IHC, WB
HUCE1 Antibody (DF3926)
Источник (хозяин): кролик
Реактивность подтвержденная: человек
Валидировано для: WB, IF, ICC
Реактивность подтвержденная: человек
Валидировано для: WB, IF, ICC
ARS2 Antibody (DF13941)
Источник (хозяин): кролик
Реактивность подтвержденная: человек, мышь, крыса
Валидировано для: IHC, WB
Реактивность подтвержденная: человек, мышь, крыса
Валидировано для: IHC, WB
ELISA Kit for Integrin Beta 1 (ITGb1) (RB042S-Mu)
Организм: мышь
Диапазон определения: 0.312-20 нг/мл
Чувствительность: 0.116 нг/мл
Диапазон определения: 0.312-20 нг/мл
Чувствительность: 0.116 нг/мл
Recombinant Death Associated Protein 6 (DAP6) (RPC259Hu01)
Источник (хозяин): E.coli
Организм: человек
Фрагмент: Met1-Pro160
Теги: N-концевые His-Tag и GST-Tag
Биоактивность: нет
Организм: человек
Фрагмент: Met1-Pro160
Теги: N-концевые His-Tag и GST-Tag
Биоактивность: нет
Rituximab ELISA Kit (KDC90709)
Организм: человек
Диапазон определения: 31.25-2000 нг/мл
Чувствительность: 23.65 нг/мл
Диапазон определения: 31.25-2000 нг/мл
Чувствительность: 23.65 нг/мл

