| UNIPROT | Q96EG1 |
| Иммуноген | Синтетический пептид, соответствующий human ARSG во внутренней части белка |
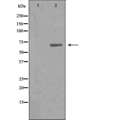
ARSG Antibody (DF3797)
Реактивность подтвержденная:
человек, мышь, крыса
Источник (хозяин):
кролик
Валидировано для:
IHC
WB
Характеристики
Техническое описание
| Каталожный номер | DF3797 |
| Название антигена | Arylsulfatase G (ARSG) |
| UNIPROT | Q96EG1 |
| Иммуноген | Синтетический пептид, соответствующий human ARSG во внутренней части белка |
| Английские синонимы | ASG |
Реактивность подтвержденная Нужна другая реактивность? |
человек, мышь, крыса |
| Реактивность предсказываемая | кролик |
| Источник (хозяин) | кролик |
| Изотип | IgG |
| Клональность | поликлональное |
| Рекомбинантное | нет |
| Готовое к использованию | нет |
| Концентрация | 1 мг/мл |
| Конъюгат | нет |
| Валидировано для | IHC WB Иммуногистохимия; Вестерн-блоттинг |
| Рекомендуемые разведения | WB: 1:500-1:1000; IHC: 1:50-1:200; Оптимальное разведение определяется конечным потребителем |
| Метод очистки | Антисыворотку очищали методом аффинной хроматографии пептидов с использованием связывающей смолы SulfoLink® (Thermo Fisher Scientific) |
| Состав буфера | Rabbit IgG в PBS; pH 7.4; 150mM NaCl; 0.02% азид натрия и 50% глицерин |
| RRID | AB_2836154 |
| Условия доставки | Термобокс с аккумуляторами холода |
| Условия хранения | Хранить при -20ºС. Стабилен 12 месяцев с даты получения |
| Срок хранения | 12 месяцев |
| Производитель | Affinity |
| Ссылка на страницу товара на сайте производителя | https://www.affbiotech.com/goods-2929-DF3797-ARSG_Antibody.html |
|
Артикул
|
Наименование |
Производитель
|
|---|
Акции и предложения
Популярные продукты:
Anti-VGF Nerve Growth Factor Inducible (VGF) Monoclonal Antibody (FAB166Hu08)
Источник (хозяин): мышь
Реактивность подтвержденная: человек
Валидировано для: FCM
Реактивность подтвержденная: человек
Валидировано для: FCM
Bovine Arylsulfatase A(ARSA) ELISA kit (E11A1683)
Организм: корова
Canine Arylsulfatase A(ARSA) ELISA kit (E08A1683)
Организм: собака
Goat Arylsulfatase A(ARSA) ELISA kit (E06A1683)
Организм: коза
Canine Arylsulfatase G(ARSG) ELISA kit (E08A1688)
Организм: собака
Goat Arylsulfatase G(ARSG) ELISA kit (E06A1688)
Организм: коза

