| UNIPROT | Q9NZ08 |
| Иммуноген | Синтетический пептид, соответствующий human ARTS1 |
ARTS1 Recombinant Rabbit mAb (ARM1578)
Реактивность подтвержденная:
человек, мышь, крыса
Источник (хозяин):
кролик
Валидировано для:
FCM
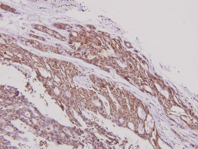
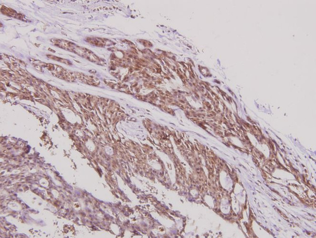
IHC
WB
IF
ICC
Характеристики
Техническое описание
| Каталожный номер | ARM1578 |
| Название антигена | Endoplasmic Reticulum Aminopeptidase 1 (ERAP1) |
| UNIPROT | Q9NZ08 |
| Иммуноген | Синтетический пептид, соответствующий human ARTS1 |
| Английские синонимы | ARTS1, ALAP, PILSAP, ERAAP1, Aminopeptidase Regulator Of TNFR1 Shedding, Adipocyte-Derived Leucine Aminopeptidase, Puromycin-Insensitive Leucyl-Specific Aminopeptidase |
Реактивность подтвержденная Нужна другая реактивность? |
человек, мышь, крыса |
| Источник (хозяин) | кролик |
| Изотип | IgG |
| Клональность | моноклональное |
| Рекомбинантное | да |
| Готовое к использованию | нет |
| Концентрация | 1 мг/мл |
| Конъюгат | По запросу: HRP, biotin, Cy3, Cy5, APC, AF488, AF594, AF405 |
| Валидировано для | FCM IHC WB IF ICC Проточная цитометрия; Иммуногистохимия; Вестерн-блоттинг; Иммунофлуоресценция; Иммуноцитохимия |
| Рекомендуемые разведения | WB 1:500~1:2000; IHC 1:50~1:200; IF/ICC 1:50~1:200; FCM 1:50 |
| Метод очистки | Антигенспецифическая аффинная хроматография |
| Состав буфера | 50 нмоль Tris-Glycine(pH 7.4); 0.15M NaCl; 40% глицерин; 0.01% азид натрия и 0.05% БСА |
| Условия доставки | термобокс с аккумуляторами холода |
| Условия хранения | Сразу после получения аликвотировать и хранить при -20ºС до 12 месяцев с момента получения. Избегать повторения циклов замерзания/оттаивания |
| Срок хранения | 12 месяцев |
| Производитель | AssayVector |
|
Артикул
|
Наименование |
Производитель
|
|---|
|
Артикул
|
Наименование |
Производитель
|
|---|
|
Артикул
|
Наименование |
Производитель
|
|---|
|
Артикул
|
Наименование |
Производитель
|
|---|
|
Артикул
|
Наименование |
Производитель
|
|---|
Акции и предложения
Популярные продукты:
Rat Cripto-1 ELISA kit (E02C2515)
Организм: крыса
Rat Islet amyloid polypeptide ELISA kit (E02I0321)
Организм: крыса
Sheep Platelet Factor 4 ELISA kit (E14P0085)
Организм: овца
Диапазон определения: 0.5-10 нг/мл
Чувствительность: 0.1 нг/мл
Диапазон определения: 0.5-10 нг/мл
Чувствительность: 0.1 нг/мл
Recombinant Mouse APCS/SAP Protein (His Tag) (PKSM041239)
Источник (хозяин): HEK293
Организм: мышь
Фрагмент: Gln21-Asp224
Теги: C-His
Биоактивность: нет
Организм: мышь
Фрагмент: Gln21-Asp224
Теги: C-His
Биоактивность: нет
Recombinant Mouse IL18 Protein, N-His (YMG70701)
Источник (хозяин): E.coli
Организм: мышь
Фрагмент: Asn36-Ser192
Теги: N-His
Биоактивность: нет
Организм: мышь
Фрагмент: Asn36-Ser192
Теги: N-His
Биоактивность: нет
Recombinant Human IL34 Protein, C-His (EHJ10801)
Источник (хозяин): клетки млекопитающих
Организм: человек
Фрагмент: Asn21-Pro242
Теги: C-His
Биоактивность: нет
Организм: человек
Фрагмент: Asn21-Pro242
Теги: C-His
Биоактивность: нет

