| UNIPROT | Q676U5 |
| Иммуноген | Рекомбинантный белок human ATG16L1 |
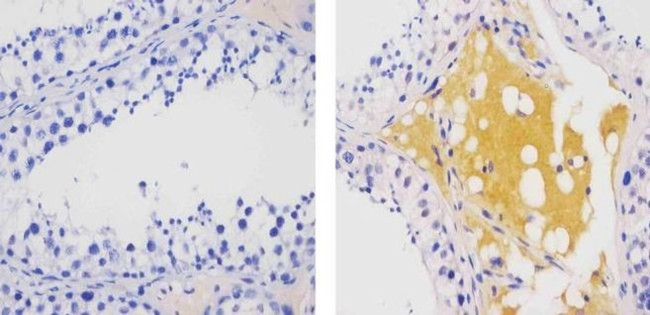
ATG16L1 Recombinant Rabbit mAb (ARM1577)
Реактивность подтвержденная:
человек, мышь, крыса
Источник (хозяин):
кролик
Валидировано для:
IHC
WB
Характеристики
Техническое описание
| Каталожный номер | ARM1577 |
| Название антигена | Autophagy Related Protein 16 Like Protein 1 (ATG16L1) |
| UNIPROT | Q676U5 |
| Иммуноген | Рекомбинантный белок human ATG16L1 |
| Английские синонимы | WDR30 |
Реактивность подтвержденная Нужна другая реактивность? |
человек, мышь, крыса |
| Источник (хозяин) | кролик |
| Изотип | IgG |
| Клональность | моноклональное |
| Рекомбинантное | да |
| Готовое к использованию | нет |
| Концентрация | 1 мг/мл |
| Конъюгат | По запросу: HRP, biotin, Cy3, Cy5, APC, AF488, AF594, AF405 |
| Валидировано для | IHC WB Иммуногистохимия; Вестерн-блоттинг |
| Рекомендуемые разведения | WB 1:500~1:2000; IHC 1:50~1:200 |
| Метод очистки | Антигенспецифическая аффинная хроматография |
| Состав буфера | 50 нмоль Tris-Glycine(pH 7.4); 0.15M NaCl; 40% глицерин; 0.01% азид натрия и 0.05% БСА |
| Условия доставки | термобокс с аккумуляторами холода |
| Условия хранения | Сразу после получения аликвотировать и хранить при -20ºС до 12 месяцев с момента получения. Избегать повторения циклов замерзания/оттаивания |
| Срок хранения | 12 месяцев |
| Производитель | AssayVector |
|
Артикул
|
Наименование |
Производитель
|
|---|
|
Артикул
|
Наименование |
Производитель
|
|---|
|
Артикул
|
Наименование |
Производитель
|
|---|
Акции и предложения
Популярные продукты:
Multiplex Assay Kit for Hemoglobin Gamma 1 (HBg1) (LMD093Hu)
Организм: человек
Диапазон определения: 29.3-30000 нг/мл
Чувствительность: 9.767 нг/мл
Диапазон определения: 29.3-30000 нг/мл
Чувствительность: 9.767 нг/мл
ELISA Kit DIY Materials for Histidine Rich Glycoprotein (HRG) (KSC534Ra01)
Организм: крыса
Диапазон определения: 0.312-20 нг/мл
Чувствительность: 0.117 нг/мл
Диапазон определения: 0.312-20 нг/мл
Чувствительность: 0.117 нг/мл
ELISA Kit DIY Materials for Prokineticin 2 (PK2) (KSA115Hu11)
Организм: человек
Диапазон определения: 246.9-20000 пг/мл
Чувствительность: 90.9 пг/мл
Диапазон определения: 246.9-20000 пг/мл
Чувствительность: 90.9 пг/мл
ELISA Kit for Carboxypeptidase A3 (CPA3) (SEC395Ra)
Организм: крыса
Диапазон определения: 0.781-50 нг/мл
Чувствительность: 0.84 нг/мл
Диапазон определения: 0.781-50 нг/мл
Чувствительность: 0.84 нг/мл
Porcine 5-Hydroxytryptophan ELISA kit (E07H1454)
Организм: свинья
Human Actin like protein 7B(ACTL7B) ELISA kit (E01A1225)
Организм: человек
Диапазон определения: 25-500 нг/мл
Чувствительность: 1 нг/мл
Диапазон определения: 25-500 нг/мл
Чувствительность: 1 нг/мл

