| UNIPROT | Q13315 |
| Иммуноген | Рекомбинантный белок human ATM |
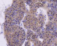
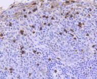
ATM Recombinant Rabbit mAb (ARM2563)
Реактивность подтвержденная:
человек, мышь, крыса
Источник (хозяин):
кролик
Валидировано для:
CHIP
FCM
IP
WB
IF
ICC
Характеристики
Техническое описание
| Каталожный номер | ARM2563 |
| Название антигена | Ataxia Telangiectasia Mutated (ATM) |
| UNIPROT | Q13315 |
| Иммуноген | Рекомбинантный белок human ATM |
| Английские синонимы | AT1, ATD, ATA, ATC, ATDC, ATE, TEL1, TELO1, Serine-protein kinase ATM |
Реактивность подтвержденная Нужна другая реактивность? |
человек, мышь, крыса |
| Источник (хозяин) | кролик |
| Изотип | IgG |
| Клональность | моноклональное |
| Рекомбинантное | да |
| Готовое к использованию | нет |
| Концентрация | 1 мг/мл |
| Конъюгат | По запросу: HRP, biotin, Cy3, Cy5, APC, AF488, AF594, AF405 |
| Валидировано для | CHIP FCM IP WB IF ICC Иммунопреципитация хроматина; Проточная цитометрия; Иммунопреципитация; Вестерн-блоттинг; Иммунофлуоресценция; Иммуноцитохимия |
| Рекомендуемые разведения | WB 1:500~1:2000; IF/ICC 1:50~1:200; FCM 1:50; IP 1:50; ChIP 1:20 1:50 |
| Метод очистки | Антигенспецифическая аффинная хроматография |
| Состав буфера | 50 нмоль Tris-Glycine(pH 7.4); 0.15M NaCl; 40% глицерин; 0.01% азид натрия и 0.05% БСА |
| Условия доставки | термобокс с аккумуляторами холода |
| Условия хранения | Сразу после получения аликвотировать и хранить при -20ºС до 12 месяцев с момента получения. Избегать повторения циклов замерзания/оттаивания |
| Срок хранения | 12 месяцев |
| Производитель | AssayVector |
|
Артикул
|
Наименование |
Производитель
|
|---|
|
Артикул
|
Наименование |
Производитель
|
|---|
|
Артикул
|
Наименование |
Производитель
|
|---|
|
Артикул
|
Наименование |
Производитель
|
|---|
|
Артикул
|
Наименование |
Производитель
|
|---|
|
Артикул
|
Наименование |
Производитель
|
|---|
Акции и предложения
Популярные продукты:
Recombinant Human RPS8 Protein, N-His (YHF48801)
Источник (хозяин): E.coli
Организм: человек
Фрагмент: Arg41-Lys208
Теги: N-His
Биоактивность: нет
Организм: человек
Фрагмент: Arg41-Lys208
Теги: N-His
Биоактивность: нет
ELISA Kit DIY Materials for Urocortin (UCN) (KSA231Mu01)
Организм: мышь
Диапазон определения: 12.35-1000 пг/мл
Чувствительность: 4.84 пг/мл
Диапазон определения: 12.35-1000 пг/мл
Чувствительность: 4.84 пг/мл
ELISA Kit DIY Materials for Dystrophin (DMD) (KSB503Hu01)
Организм: человек
Диапазон определения: 0.156-10 нг/мл
Чувствительность: 0.059 нг/мл
Диапазон определения: 0.156-10 нг/мл
Чувствительность: 0.059 нг/мл
Monoclonal Antibody to Acetylcholinesterase (ACHE) (MAB447Hu26)
Источник (хозяин): мышь
Реактивность подтвержденная: человек
Валидировано для: ICC, IF
Реактивность подтвержденная: человек
Валидировано для: ICC, IF
Bovine Calreticulin 3(CALR3) ELISA kit (E11C1330)
Организм: корова

