| UNIPROT | O75936 |
| Иммуноген | Синтетический пептид, соответствующий human BBOX1 |
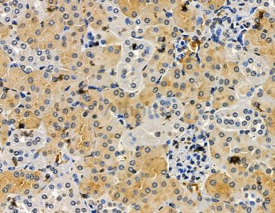
BBOX1 Antibody (DF15421)
Реактивность подтвержденная:
человек, мышь, крыса
Источник (хозяин):
кролик
Валидировано для:
IHC
WB
IF
ICC
Характеристики
Техническое описание
| Каталожный номер | DF15421 |
| Название антигена | Gamma-Butyrobetaine Hydroxylase (gBBH) |
| UNIPROT | O75936 |
| Иммуноген | Синтетический пептид, соответствующий human BBOX1 |
| Английские синонимы | BBOX1, BBH, BBOX, G-BBH, Gamma-BBH, Gamma-Butyrobetaine Dioxygenase, 2-Oxoglutarate Dioxygenase 1, Gamma-butyrobetaine,2-oxoglutarate dioxygenase |
Реактивность подтвержденная Нужна другая реактивность? |
человек, мышь, крыса |
| Источник (хозяин) | кролик |
| Изотип | IgG |
| Клональность | поликлональное |
| Рекомбинантное | нет |
| Готовое к использованию | нет |
| Концентрация | 1 мг/мл |
| Конъюгат | нет |
| Валидировано для | IHC WB IF ICC Иммуногистохимия; Вестерн-блоттинг; Иммунофлуоресценция; Иммуноцитохимия |
| Рекомендуемые разведения | WB: 1:500-1:2000; IF/ICC: 1:100-1:500; IHC: 1:50-1:200; Оптимальное разведение определяется конечным потребителем |
| Метод очистки | Антисыворотку очищали методом аффинной хроматографии пептидов с использованием связывающей смолы SulfoLink® (Thermo Fisher Scientific) |
| Состав буфера | Rabbit IgG в PBS; pH 7.4; 150mM NaCl; 0.02% азид натрия и 50% глицерин |
| Условия доставки | Термобокс с аккумуляторами холода |
| Условия хранения | Хранить при -20ºС. Стабилен 12 месяцев с даты получения |
| Срок хранения | 12 месяцев |
| Производитель | Affinity |
| Ссылка на страницу товара на сайте производителя | https://www.affbiotech.com/goods-19865-DF15421-BBOX1_Antibody.html |
|
Артикул
|
Наименование |
Производитель
|
|---|
Акции и предложения
Популярные продукты:
Canine AP 1 complex subunit mu 2(AP1M2) ELISA kit (E08A1558)
Организм: собака
Canine Sirtuin 3 ELISA kit (E08S0466)
Организм: собака

