| UNIPROT | P04350 |
| Иммуноген | Синтетический пептид, соответствующий human beta IV Tubulin |
beta IV Tubulin Recombinant Rabbit mAb (ARM1825)
Реактивность подтвержденная:
человек, мышь, крыса
Источник (хозяин):
кролик
Валидировано для:
FCM
IHC
WB
IF
ICC
Характеристики
Техническое описание
| Каталожный номер | ARM1825 |
| Название антигена | Tubulin Beta 4 (TUBb4) |
| UNIPROT | P04350 |
| Иммуноген | Синтетический пептид, соответствующий human beta IV Tubulin |
| Английские синонимы | TUBB5, Tubulin 5 beta |
Реактивность подтвержденная Нужна другая реактивность? |
человек, мышь, крыса |
| Источник (хозяин) | кролик |
| Изотип | IgG |
| Клональность | моноклональное |
| Рекомбинантное | да |
| Готовое к использованию | нет |
| Концентрация | 1 мг/мл |
| Конъюгат | По запросу: HRP, biotin, Cy3, Cy5, APC, AF488, AF594, AF405 |
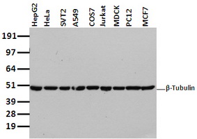
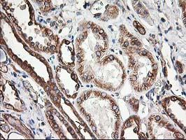
| Валидировано для | FCM IHC WB IF ICC Проточная цитометрия; Иммуногистохимия; Вестерн-блоттинг; Иммунофлуоресценция; Иммуноцитохимия |
| Рекомендуемые разведения | WB 1:500~1:2000; IHC 1:50~1:200; IF/ICC 1:50~1:200; FCM 1:50 |
| Метод очистки | Антигенспецифическая аффинная хроматография |
| Состав буфера | 50 нмоль Tris-Glycine(pH 7.4); 0.15M NaCl; 40% глицерин; 0.01% азид натрия и 0.05% БСА |
| Условия доставки | термобокс с аккумуляторами холода |
| Условия хранения | Сразу после получения аликвотировать и хранить при -20ºС до 12 месяцев с момента получения. Избегать повторения циклов замерзания/оттаивания |
| Срок хранения | 12 месяцев |
| Производитель | AssayVector |
|
Артикул
|
Наименование |
Производитель
|
|---|
Акции и предложения
Популярные продукты:
Human Streptozotocin ELISA kit (E01S0833)
Организм: человек
Guinea Pig Xeroderma Pigmentosum, Complementation Group B ELISA kit (E05X0003)
Организм: морская свинка
Sheep Kruppel Like Factor 15 ELISA kit (E14K0029)
Организм: овца
Goat Antithrombin III(AT III) ELISA kit (E06A1970)
Организм: коза

