| UNIPROT | P55957 |
| Иммуноген | Синтетический пептид, соответствующий human BID на С-конце |
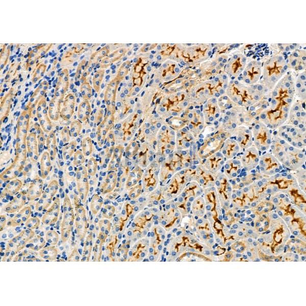
BID Antibody (DF6016)
Реактивность подтвержденная:
человек, мышь, крыса
Источник (хозяин):
кролик
Валидировано для:
IHC
WB
IF
ICC
Характеристики
Техническое описание
| Каталожный номер | DF6016 |
| Название антигена | BH3 Interacting Domain Death Agonist (Bid) |
| UNIPROT | P55957 |
| Иммуноген | Синтетический пептид, соответствующий human BID на С-конце |
| Английские синонимы | p22 BID |
Реактивность подтвержденная Нужна другая реактивность? |
человек, мышь, крыса |
| Источник (хозяин) | кролик |
| Изотип | IgG |
| Клональность | поликлональное |
| Рекомбинантное | нет |
| Готовое к использованию | нет |
| Концентрация | 1 мг/мл |
| Конъюгат | нет |
| Валидировано для | IHC WB IF ICC Иммуногистохимия; Вестерн-блоттинг; Иммунофлуоресценция; Иммуноцитохимия |
| Рекомендуемые разведения | WB: 1:500-1:2000; IHC: 1:50-1:200; IF/ICC: 1:200; Оптимальное разведение определяется конечным потребителем |
| Метод очистки | Антисыворотку очищали методом аффинной хроматографии пептидов с использованием связывающей смолы SulfoLink® (Thermo Fisher Scientific) |
| Состав буфера | Rabbit IgG в PBS; pH 7.4; 150mM NaCl; 0.02% азид натрия и 50% глицерин |
| RRID | AB_2837991 |
| Условия доставки | Термобокс с аккумуляторами холода |
| Условия хранения | Хранить при -20ºС. Стабилен 12 месяцев с даты получения |
| Срок хранения | 12 месяцев |
| Производитель | Affinity |
| Ссылка на страницу товара на сайте производителя | https://www.affbiotech.com/goods-4818-DF6016-BID_Antibody.html |
|
Артикул
|
Наименование |
Производитель
|
|---|
|
Артикул
|
Наименование |
Производитель
|
|---|
|
Артикул
|
Наименование |
Производитель
|
|---|
|
Артикул
|
Наименование |
Производитель
|
|---|
|
Артикул
|
Наименование |
Производитель
|
|---|
|
Артикул
|
Наименование |
Производитель
|
|---|
Акции и предложения
Популярные продукты:
4-HNE(4-Hydroxynonenal) ELISA Kit (E-EL-0128)
Организм: для всех
Диапазон определения: 0.63-40 нг/мл
Чувствительность: 0.38 нг/мл
Диапазон определения: 0.63-40 нг/мл
Чувствительность: 0.38 нг/мл
Canine Coronin 1B(CORO1B) ELISA kit (E08C1951)
Организм: собака
Human Prolactin receptor(PRLR) ELISA kit (E01P0866)
Организм: человек
Диапазон определения: 2.5-50 нг/мл
Чувствительность: 0.1 нг/мл
Диапазон определения: 2.5-50 нг/мл
Чувствительность: 0.1 нг/мл
Canine Troponin C Type 2, Fast ELISA kit (E08T0249)
Организм: собака
Monkey Carbonic anhydrase 13(CA13) ELISA kit (E09C1280)
Организм: обезьяна
Porcine Nandrolone Phenylpropionate ELISA kit (E07N0095)
Организм: свинья

