Ваш браузер устарел и не обеспечивает полноценную и безопасную работу с сайтом. Пожалуйста обновите браузер чтобы улучшить взаимодействие с сайтом.
Мы обновили сайт, попробуйте новые функции в личном кабинете!

+7 (495) 798-02-48

BMPR2 Antibody (AF5383)

Реактивность подтвержденная: человек, мышь, крыса, обезьяна
Источник (хозяин): кролик
Валидировано для:
IHC
WB
IF
ICC
Валидация Affinity AF5383 - 3013
Валидация Affinity AF5383 - 3013
Western blot analysis of extracts from mouse brain, using BMPR2 Antibody.
Валидация Affinity AF5383 - 3014
Валидация Affinity AF5383 - 3014
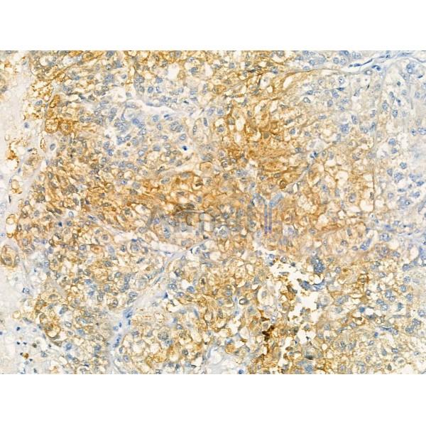
AF5383 at 1/100 staining Human liver cancer by IHC-P. The sample was formaldehyde fixed and a heat mediated antigen retrieval step in citrate buffer was performed. The sample was then blocked and incubated with the primary antibody at 4ºС overnight. An HRP conjugated anti-Rabbit antibody was used as the secondary antibody.
Валидация Affinity AF5383 - 3015
Валидация Affinity AF5383 - 3015
AF5383 staining HepG2 by IF/ICC. The samples were fixed with PFA and permeabilized in 0.1% Triton X-100. Then blocked in 10% serum for 45 minutes at 25ºС. Samples were then incubated with primary Ab (AF5383 1:200) and mouse anti-beta tubulin Ab (T0023 1:200) for 1 hour at 37ºС. An AlexaFluor594 conjugated goat anti-rabbit IgG (H+L) Ab (Red) and an AlexaFluor488 conjugated goat anti-mouse IgG (H+L) Ab (Green) were used as the secondary antibody. The nuclear counter stain is DAPI (blue).
Валидация Affinity AF5383 - 3013
Валидация Affinity AF5383 - 3014
Валидация Affinity AF5383 - 3015
Ближайшая поставка
29.05.26
Характеристики
Техническое описание
Каталожный номер AF5383
Название антигена Bone Morphogenetic Protein Receptor 2 (BMPR2)
UNIPROT Q13873
Иммуноген Синтетический пептид, соответствующий human BMPR2 во внутренней части белка
Английские синонимы BMPRII, BMPR-II, BRK3, T-ALK, BMPR3, PPH1, Primary Pulmonary Hypertension 1, BMP type II receptor
Реактивность подтвержденная
Нужна другая реактивность?
человек, мышь, крыса, обезьяна
Реактивность предсказываемая корова, лошадь, овца, кролик, собака, курица, лягушка
Источник (хозяин) кролик
Изотип IgG
Клональность поликлональное
Рекомбинантное нет
Готовое к использованию нет
Концентрация 1 мг/мл
Конъюгат нет
Валидировано для
IHC
WB
IF
ICC
Иммуногистохимия; Вестерн-блоттинг; Иммунофлуоресценция; Иммуноцитохимия
Рекомендуемые разведения WB: 1:500-1:2000; IF/ICC: 1:100-1:500; IHC: 1:50-1:200; Оптимальное разведение определяется конечным потребителем
Метод очистки Антисыворотку очищали методом аффинной хроматографии пептидов с использованием связывающей смолы SulfoLink® (Thermo Fisher Scientific)
Состав буфера Rabbit IgG в PBS; pH 7.4; 150mM NaCl; 0.02% азид натрия и 50% глицерин
RRID AB_2837868
Условия доставки Термобокс с аккумуляторами холода
Условия хранения Хранить при -20ºС. Стабилен 12 месяцев с даты получения
Срок хранения 12 месяцев
Производитель Affinity
Ссылка на страницу товара на сайте производителя https://www.affbiotech.com/goods-4690-AF5383-BMPR2_Antibody.html

Назначение

поликлональное антитело от производителя Affinity к Bone Morphogenetic Protein Receptor 2 (BMPR2) источник — кролик предназначено для детекции целевого антигена в биологических образцах. Продукт характеризуется подтвержденной реактивностью к человек, мышь, крыса, обезьяна.

Преимущества

  • Высокая специфичность и аффинность
  • Концентрация: 1 мг/мл
  • Оптимизированный состав буфера: Rabbit IgG в PBS; pH 7.4; 150mM NaCl; 0.02% азид натрия и 50% глицерин
  • Стабильность: 12 месяцев

Применение в исследованиях

Антитело валидировано для методов: IHC, WB, IF, ICC. Подходит для научных исследований в области иммунологии, клеточной биологии и молекулярной диагностики.

Условия хранения

Срок годности: 12 месяцев. Хранить при -20ºС. Стабилен 12 месяцев с даты получения. Рекомендуется соблюдать температурный режим при транспортировке и хранении.
UNIPROT Q13873
Иммуноген Синтетический пептид, соответствующий human BMPR2 во внутренней части белка
Артикул
Наименование
Производитель
Артикул
Наименование
Производитель
Артикул
Наименование
Производитель
Артикул
Наименование
Производитель

С нами успешно сотрудничают:

Московский государственный университет им. Ломоносова
Московский государственный университет им. Ломоносова
Московский государственный университет им. Ломоносова
МФТИ
МФТИ
МФТИ
Центр вирусологии и биотехнологии „Вектор“
Центр вирусологии и биотехнологии „Вектор“
Центр вирусологии и биотехнологии „Вектор“
Институт физиологии имени Павлова
Институт физиологии имени Павлова
Институт физиологии имени Павлова
Сеченовский университет
Сеченовский университет
Сеченовский университет
Исследовательский центр им. Алмазова
Исследовательский центр им. Алмазова
Исследовательский центр им. Алмазова
BIOCAD
BIOCAD
BIOCAD
Университет Сириус
Университет Сириус
Университет Сириус
Р-Фарм
Р-Фарм
Р-Фарм
Сколтех
Сколтех
Сколтех
Курчатовский институт
Курчатовский институт
Курчатовский институт
ИБХ РАН
ИБХ РАН
ИБХ РАН
НИЦ эпидемиологии и микробиологии им. Н.Ф.Гамалеи
НИЦ эпидемиологии и микробиологии им. Н.Ф.Гамалеи
НИЦ эпидемиологии и микробиологии им. Н.Ф.Гамалеи
Томский НИМЦ
Томский НИМЦ
Томский НИМЦ
ФИЦ ВИЖ имени Л.К. Эрнста
ФИЦ ВИЖ имени Л.К. Эрнста
ФИЦ ВИЖ имени Л.К. Эрнста
Фонд "Наука - Детям"
Фонд "Наука - Детям"
Фонд "Наука - Детям"
Институт цитологии и генетики СО РАН
Институт цитологии и генетики СО РАН
Институт цитологии и генетики СО РАН
Генериум
Генериум
Генериум

Новости

0
0
0