| UNIPROT | O60566 |
| Иммуноген | Синтетический пептид, соответствующий human BubR1 |
BUBR1 Recombinant Rabbit mAb (ARM2620)
Реактивность подтвержденная:
человек, мышь, крыса
Источник (хозяин):
кролик
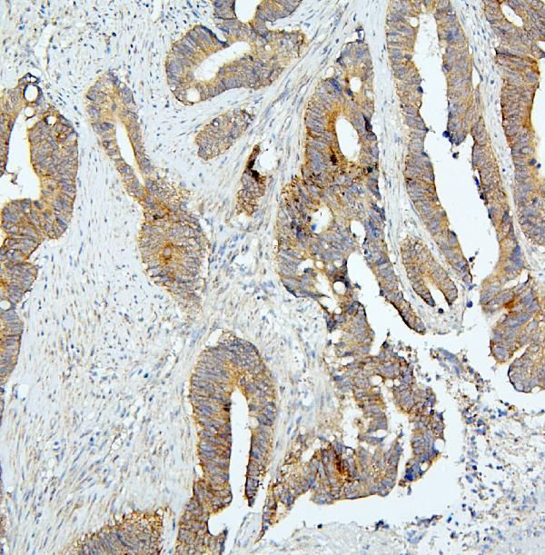
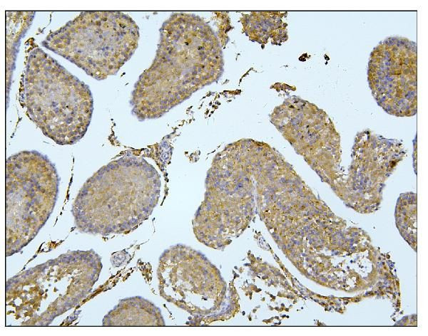
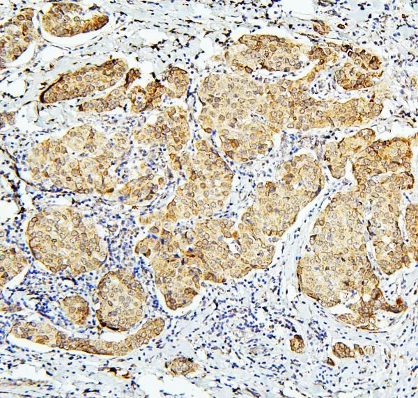
Валидировано для:
FCM
IHC
IP
WB
Характеристики
Техническое описание
| Каталожный номер | ARM2620 |
| Название антигена | Budding Uninhibited By Benzimidazoles 1B (BUB1B) |
| UNIPROT | O60566 |
| Иммуноген | Синтетический пептид, соответствующий human BubR1 |
| Английские синонимы | BUBR1, Bub1A, MAD3L, SSK1, hBUBR1, Mitotic checkpoint serine/threonine-protein kinase BUB1 beta, MAD3/BUB1-related protein kinase, Mitotic checkpoint kinase MAD3L |
Реактивность подтвержденная Нужна другая реактивность? |
человек, мышь, крыса |
| Источник (хозяин) | кролик |
| Изотип | IgG |
| Клональность | моноклональное |
| Рекомбинантное | да |
| Готовое к использованию | нет |
| Концентрация | 1 мг/мл |
| Конъюгат | По запросу: HRP, biotin, Cy3, Cy5, APC, AF488, AF594, AF405 |
| Валидировано для | FCM IHC IP WB Проточная цитометрия; Иммуногистохимия; Иммунопреципитация; Вестерн-блоттинг |
| Рекомендуемые разведения | WB 1:500~1:2000; IHC 1:50~1:200; FCM 1:50; IP 1:50 |
| Метод очистки | Антигенспецифическая аффинная хроматография |
| Состав буфера | 50 нмоль Tris-Glycine(pH 7.4); 0.15M NaCl; 40% глицерин; 0.01% азид натрия и 0.05% БСА |
| Условия доставки | термобокс с аккумуляторами холода |
| Условия хранения | Сразу после получения аликвотировать и хранить при -20ºС до 12 месяцев с момента получения. Избегать повторения циклов замерзания/оттаивания |
| Срок хранения | 12 месяцев |
| Производитель | AssayVector |
|
Артикул
|
Наименование |
Производитель
|
|---|
|
Артикул
|
Наименование |
Производитель
|
|---|
|
Артикул
|
Наименование |
Производитель
|
|---|
|
Артикул
|
Наименование |
Производитель
|
|---|
Акции и предложения
Популярные продукты:
Rabbit Growth Differentiation Factor 10 ELISA kit (E04G0121)
Организм: кролик
FITC-Linked Polyclonal Antibody to Coagulation Factor II (F2) (LAA820Mu81)
Источник (хозяин): кролик
Реактивность подтвержденная: мышь
Валидировано для: ICC, IHC, WB
Реактивность подтвержденная: мышь
Валидировано для: ICC, IHC, WB
Folic Acid/VB9 ELISA Kit (KGP18201)
Организм: для всех
ELISA Kit for Histone Cluster 1, H4a (HIST1H4A) (SEQ004Hu)
Организм: человек
Диапазон определения: 0.156-10 нг/мл
Чувствительность: 0.054 нг/мл
Диапазон определения: 0.156-10 нг/мл
Чувствительность: 0.054 нг/мл

