| UNIPROT | P05412 |
| Иммуноген | Синтетический пептид, соответствующий human c-Jun |
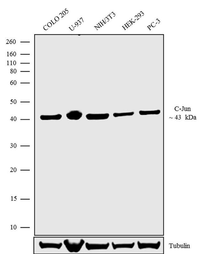
c-Jun Recombinant Rabbit mAb (ARM2514)
Реактивность подтвержденная:
человек
Источник (хозяин):
кролик
Валидировано для:
IHC
IP
WB
IF
ICC
Характеристики
Техническое описание
| Каталожный номер | ARM2514 |
| Название антигена | V-Jun Sarcoma Virus 17 Oncogene Homolog (JUN) |
| UNIPROT | P05412 |
| Иммуноген | Синтетический пептид, соответствующий human c-Jun |
| Английские синонимы | C-Jun, AP1, CJun, p39, Jun Oncogene, Proto-oncogene c-Jun, Activator protein 1, Transcription factor AP-1 |
Реактивность подтвержденная Нужна другая реактивность? |
человек |
| Источник (хозяин) | кролик |
| Изотип | IgG |
| Клональность | моноклональное |
| Рекомбинантное | да |
| Готовое к использованию | нет |
| Концентрация | 1 мг/мл |
| Конъюгат | По запросу: HRP, biotin, Cy3, Cy5, APC, AF488, AF594, AF405 |
| Валидировано для | IHC IP WB IF ICC Иммуногистохимия; Иммунопреципитация; Вестерн-блоттинг; Иммунофлуоресценция; Иммуноцитохимия |
| Рекомендуемые разведения | WB 1:500~1:2000; IHC 1:50~1:200; IF/ICC 1:50~1:200; IP 1:50 |
| Метод очистки | Антигенспецифическая аффинная хроматография |
| Состав буфера | 50 нмоль Tris-Glycine(pH 7.4); 0.15M NaCl; 40% глицерин; 0.01% азид натрия и 0.05% БСА |
| Условия доставки | термобокс с аккумуляторами холода |
| Условия хранения | Сразу после получения аликвотировать и хранить при -20ºС до 12 месяцев с момента получения. Избегать повторения циклов замерзания/оттаивания |
| Срок хранения | 12 месяцев |
| Производитель | AssayVector |
|
Артикул
|
Наименование |
Производитель
|
|---|
|
Артикул
|
Наименование |
Производитель
|
|---|
|
Артикул
|
Наименование |
Производитель
|
|---|
|
Артикул
|
Наименование |
Производитель
|
|---|
|
Артикул
|
Наименование |
Производитель
|
|---|
|
Артикул
|
Наименование |
Производитель
|
|---|
|
Артикул
|
Наименование |
Производитель
|
|---|
Акции и предложения
Популярные продукты:
4-HNE(4-Hydroxynonenal) ELISA Kit (E-EL-0128)
Организм: для всех
Диапазон определения: 0.63-40 нг/мл
Чувствительность: 0.38 нг/мл
Диапазон определения: 0.63-40 нг/мл
Чувствительность: 0.38 нг/мл
Goat Ceramide kinase(CERK) ELISA kit (E06C1622)
Организм: коза
Monkey Growth Differentiation Factor 10 ELISA kit (E09G0121)
Организм: обезьяна
Porcine Transforming Growth Factor β 3 ELISA kit (E07T0168)
Организм: свинья
Rabbit S Antigen ELISA kit (E04S0054)
Организм: кролик

