| UNIPROT | P01106 |
| Иммуноген | Синтетический пептид, соответствующий human c-Myc |
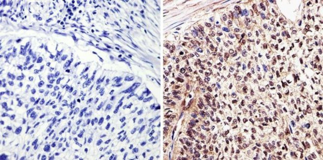
c-Myc Recombinant Rabbit mAb (ARM1234)
Реактивность подтвержденная:
человек, мышь, крыса
Источник (хозяин):
кролик
Валидировано для:
FCM
IHC
IP
WB
IF
ICC
Характеристики
Техническое описание
| Каталожный номер | ARM1234 |
| Название антигена | V-Myc Myelocytomatosis Viral Oncogene Homolog (MYC) |
| UNIPROT | P01106 |
| Иммуноген | Синтетический пептид, соответствующий human c-Myc |
| Английские синонимы | C-Myc, BHLHE39, Myc Proto-Oncogene Protein, Class E basic helix-loop-helix protein 39, Transcription factor p64, Proto-oncogene c-Myc |
Реактивность подтвержденная Нужна другая реактивность? |
человек, мышь, крыса |
| Источник (хозяин) | кролик |
| Изотип | IgG |
| Клональность | моноклональное |
| Рекомбинантное | да |
| Готовое к использованию | нет |
| Концентрация | 1 мг/мл |
| Конъюгат | По запросу: HRP, biotin, Cy3, Cy5, APC, AF488, AF594, AF405 |
| Валидировано для | FCM IHC IP WB IF ICC Проточная цитометрия; Иммуногистохимия; Иммунопреципитация; Вестерн-блоттинг; Иммунофлуоресценция; Иммуноцитохимия |
| Рекомендуемые разведения | WB 1:500~1:2000; IHC 1:50~1:200; IF/ICC 1:50~1:200; FCM 1:50; IP 1:50 |
| Метод очистки | Антигенспецифическая аффинная хроматография |
| Состав буфера | 50 нмоль Tris-Glycine(pH 7.4); 0.15M NaCl; 40% глицерин; 0.01% азид натрия и 0.05% БСА |
| Условия доставки | термобокс с аккумуляторами холода |
| Условия хранения | Сразу после получения аликвотировать и хранить при -20ºС до 12 месяцев с момента получения. Избегать повторения циклов замерзания/оттаивания |
| Срок хранения | 12 месяцев |
| Производитель | AssayVector |
|
Артикул
|
Наименование |
Производитель
|
|---|
|
Артикул
|
Наименование |
Производитель
|
|---|
|
Артикул
|
Наименование |
Производитель
|
|---|
|
Артикул
|
Наименование |
Производитель
|
|---|
|
Артикул
|
Наименование |
Производитель
|
|---|
|
Артикул
|
Наименование |
Производитель
|
|---|
|
Артикул
|
Наименование |
Производитель
|
|---|
Акции и предложения
Популярные продукты:
CLIA Kit for Monocyte Chemotactic Protein 1 (MCP1) (RA087L-Rb)
Организм: кролик
Диапазон определения: 54.9-40000 пг/мл
Чувствительность: 19.1 пг/мл
Диапазон определения: 54.9-40000 пг/мл
Чувствительность: 19.1 пг/мл
ELISA Kit DIY Materials for Loricrin (LOR) (KSC568Hu01)
Организм: человек
Диапазон определения: 0.156-10 нг/мл
Чувствительность: 0.058 нг/мл
Диапазон определения: 0.156-10 нг/мл
Чувствительность: 0.058 нг/мл
Monoclonal Antibody to Sialic Acid Binding Ig Like Lectin 2 (CD22) (MAB144Hu29)
Источник (хозяин): мышь
Реактивность подтвержденная: человек
Валидировано для: WB
Реактивность подтвержденная: человек
Валидировано для: WB
Sheep Anoctamin 8(ANO8) ELISA kit (E14A1534)
Организм: овца
Bovine Calsequestrin 2(CASQ2) ELISA kit (E11C1395)
Организм: корова

