| UNIPROT | Q9UQM7 |
| Иммуноген | Синтетический пептид, соответствующий human CaMKII |
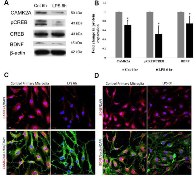
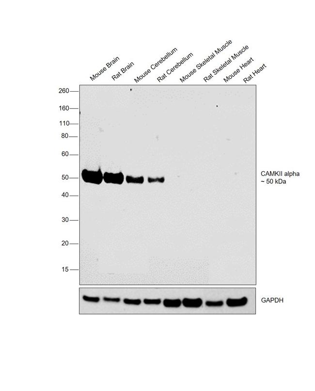
CaMKII alpha Recombinant Rabbit mAb (ARM2756)
Реактивность подтвержденная:
человек, мышь, крыса
Источник (хозяин):
кролик
Валидировано для:
FCM
IHC
WB
IF
ICC
Характеристики
Техническое описание
| Каталожный номер | ARM2756 |
| Название антигена | Calcium/Calmodulin Dependent Protein Kinase II Alpha (CAMK2a) |
| UNIPROT | Q9UQM7 |
| Иммуноген | Синтетический пептид, соответствующий human CaMKII |
| Английские синонимы | CAMKA |
Реактивность подтвержденная Нужна другая реактивность? |
человек, мышь, крыса |
| Источник (хозяин) | кролик |
| Изотип | IgG |
| Клональность | моноклональное |
| Рекомбинантное | да |
| Готовое к использованию | нет |
| Концентрация | 1 мг/мл |
| Конъюгат | По запросу: HRP, biotin, Cy3, Cy5, APC, AF488, AF594, AF405 |
| Валидировано для | FCM IHC WB IF ICC Проточная цитометрия; Иммуногистохимия; Вестерн-блоттинг; Иммунофлуоресценция; Иммуноцитохимия |
| Рекомендуемые разведения | WB 1:500~1:2000; IHC 1:50~1:200; IF/ICC 1:50~1:200; FCM 1:50 |
| Метод очистки | Антигенспецифическая аффинная хроматография |
| Состав буфера | 50 нмоль Tris-Glycine(pH 7.4); 0.15M NaCl; 40% глицерин; 0.01% азид натрия и 0.05% БСА |
| Условия доставки | термобокс с аккумуляторами холода |
| Условия хранения | Сразу после получения аликвотировать и хранить при -20ºС до 12 месяцев с момента получения. Избегать повторения циклов замерзания/оттаивания |
| Срок хранения | 12 месяцев |
| Производитель | AssayVector |
|
Артикул
|
Наименование |
Производитель
|
|---|
|
Артикул
|
Наименование |
Производитель
|
|---|
|
Артикул
|
Наименование |
Производитель
|
|---|
|
Артикул
|
Наименование |
Производитель
|
|---|
|
Артикул
|
Наименование |
Производитель
|
|---|
|
Артикул
|
Наименование |
Производитель
|
|---|
Акции и предложения
Популярные продукты:
RCN2 Mouse Monoclonal Antibody (BF8852)
Источник (хозяин): мышь
Реактивность подтвержденная: человек, крыса
Валидировано для: WB
Реактивность подтвержденная: человек, крыса
Валидировано для: WB
Anti-Human CD1a Antibody (Fs0327), APC (FHC18722)
Источник (хозяин): мышь
Реактивность подтвержденная: человек
Валидировано для: ELISA, FCM, IP, RIA
Реактивность подтвержденная: человек
Валидировано для: ELISA, FCM, IP, RIA
Anti-HPV16 E7/Protein E7 Antibody (R4D92) (RVV08910)
Источник (хозяин): мышь
Реактивность подтвержденная: вирусы
Валидировано для: ELISA
Реактивность подтвержденная: вирусы
Валидировано для: ELISA
Goat Cystin-1(CYS1) ELISA kit (E06C2263)
Организм: коза
Sheep Alpha internexin(INA) ELISA kit (E14A1887)
Организм: овца
Sheep 14 3 3 protein sigma ELISA kit (E14S0433)
Организм: овца

