| UNIPROT | Q13557 |
| Иммуноген | Синтетический пептид, соответствующий human CaMKII delta |
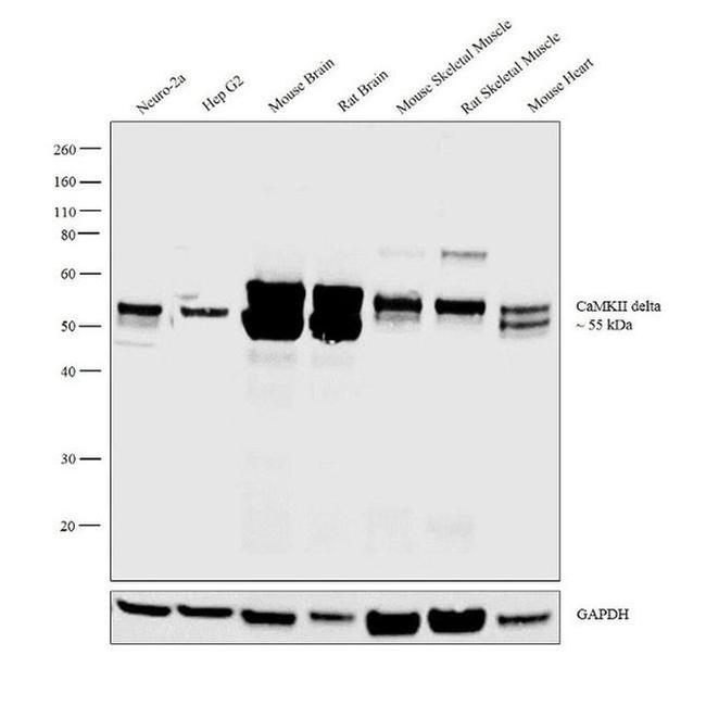
CaMKII delta Recombinant Rabbit mAb (ARM2765)
Реактивность подтвержденная:
человек, мышь, крыса
Источник (хозяин):
кролик
Валидировано для:
IHC
WB
Характеристики
Техническое описание
| Каталожный номер | ARM2765 |
| Название антигена | Calcium/Calmodulin Dependent Protein Kinase II Delta (CAMK2d) |
| UNIPROT | Q13557 |
| Иммуноген | Синтетический пептид, соответствующий human CaMKII delta |
| Английские синонимы | CAMKD, Calcium/Calmodulin-Dependent Protein Kinase Type II Delta Chain |
Реактивность подтвержденная Нужна другая реактивность? |
человек, мышь, крыса |
| Источник (хозяин) | кролик |
| Изотип | IgG |
| Клональность | моноклональное |
| Рекомбинантное | да |
| Готовое к использованию | нет |
| Концентрация | 1 мг/мл |
| Конъюгат | По запросу: HRP, biotin, Cy3, Cy5, APC, AF488, AF594, AF405 |
| Валидировано для | IHC WB Иммуногистохимия; Вестерн-блоттинг |
| Рекомендуемые разведения | WB 1:500~1:2000; IHC 1:50~1:200 |
| Метод очистки | Антигенспецифическая аффинная хроматография |
| Состав буфера | 50 нмоль Tris-Glycine(pH 7.4); 0.15M NaCl; 40% глицерин; 0.01% азид натрия и 0.05% БСА |
| Условия доставки | термобокс с аккумуляторами холода |
| Условия хранения | Сразу после получения аликвотировать и хранить при -20ºС до 12 месяцев с момента получения. Избегать повторения циклов замерзания/оттаивания |
| Срок хранения | 12 месяцев |
| Производитель | AssayVector |
|
Артикул
|
Наименование |
Производитель
|
|---|
|
Артикул
|
Наименование |
Производитель
|
|---|
|
Артикул
|
Наименование |
Производитель
|
|---|
Акции и предложения
Популярные продукты:
Anti-Human CD1b Antibody (Fs0326) (FHD81010)
Источник (хозяин): мышь
Реактивность подтвержденная: человек
Валидировано для: ELISA, FCM, IF, IP, WB
Реактивность подтвержденная: человек
Валидировано для: ELISA, FCM, IF, IP, WB
ELISA Kit DIY Materials for Small Breast Epithelial Mucin (SBEM) (KSB840Hu01)
Организм: человек
Диапазон определения: 0.312-20 нг/мл
Чувствительность: 0.127 нг/мл
Диапазон определения: 0.312-20 нг/мл
Чувствительность: 0.127 нг/мл
Rat Gamma Glutamyltransferase 1 ELISA kit (E02G0160)
Организм: крыса
Диапазон определения: 5-100 нг/мл
Чувствительность: 1 нг/мл
Диапазон определения: 5-100 нг/мл
Чувствительность: 1 нг/мл
Anti-ACY1 Polyclonal Antibody (PHF98101)
Источник (хозяин): кролик
Реактивность подтвержденная: человек, мышь
Валидировано для: ELISA, IHC, WB
Реактивность подтвержденная: человек, мышь
Валидировано для: ELISA, IHC, WB

