| UNIPROT | P42574 |
| Иммуноген | Рекомбинантный белок human Caspase-3 |
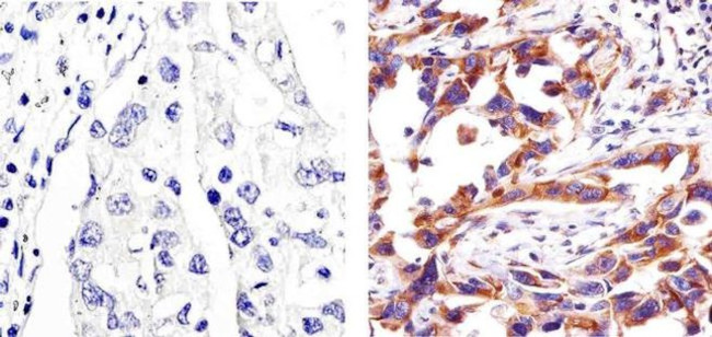
Caspase-3 Recombinant Rabbit mAb (ARM1449)
Реактивность подтвержденная:
человек, мышь, крыса
Источник (хозяин):
кролик
Валидировано для:
IHC
IP
WB
Характеристики
Техническое описание
| Каталожный номер | ARM1449 |
| Название антигена | Caspase 3 (CASP3) |
| UNIPROT | P42574 |
| Иммуноген | Рекомбинантный белок human Caspase-3 |
| Английские синонимы | CPP32, CPP32B, SCA1, Apoptain, Yama, Apoptosis-Related Cysteine Peptidase, Cysteinyl Aspartate Specific Proteinases 3, SREBP cleavage activity 1, CASP-3, Caspase-3 |
| Русские синонимы | каспаза-3 |
Реактивность подтвержденная Нужна другая реактивность? |
человек, мышь, крыса |
| Источник (хозяин) | кролик |
| Изотип | IgG |
| Клональность | моноклональное |
| Рекомбинантное | да |
| Готовое к использованию | нет |
| Концентрация | 1 мг/мл |
| Конъюгат | По запросу: HRP, biotin, Cy3, Cy5, APC, AF488, AF594, AF405 |
| Валидировано для | IHC IP WB Иммуногистохимия; Иммунопреципитация; Вестерн-блоттинг |
| Рекомендуемые разведения | WB 1:500~1:2000; IHC 1:50~1:200; IP 1:50 |
| Метод очистки | Антигенспецифическая аффинная хроматография |
| Состав буфера | 50 нмоль Tris-Glycine(pH 7.4); 0.15M NaCl; 40% глицерин; 0.01% азид натрия и 0.05% БСА |
| Условия доставки | термобокс с аккумуляторами холода |
| Условия хранения | Сразу после получения аликвотировать и хранить при -20ºС до 12 месяцев с момента получения. Избегать повторения циклов замерзания/оттаивания |
| Срок хранения | 12 месяцев |
| Производитель | AssayVector |
|
Артикул
|
Наименование |
Производитель
|
|---|
|
Артикул
|
Наименование |
Производитель
|
|---|
|
Артикул
|
Наименование |
Производитель
|
|---|
|
Артикул
|
Наименование |
Производитель
|
|---|
|
Артикул
|
Наименование |
Производитель
|
|---|
|
Артикул
|
Наименование |
Производитель
|
|---|
|
Артикул
|
Наименование |
Производитель
|
|---|
Акции и предложения
Популярные продукты:
ELISA Kit for Relaxin (RLN) (RB216C-Ca)
Организм: собака
Диапазон определения: 3.2-2000 пг/мл
Чувствительность: 1.3 пг/мл
Диапазон определения: 3.2-2000 пг/мл
Чувствительность: 1.3 пг/мл
ELISA Kit DIY Materials for Integrin Alpha X (CD11c) (KSB159Mu01)
Организм: мышь
Диапазон определения: 0.156-10 нг/мл
Чувствительность: 0.059 нг/мл
Диапазон определения: 0.156-10 нг/мл
Чувствительность: 0.059 нг/мл
ELISA Kit DIY Materials for Interferon Tau (IFNt) (KSB862Bo01)
Организм: корова
Диапазон определения: 7.8-500 пг/мл
Чувствительность: 3.1 пг/мл
Диапазон определения: 7.8-500 пг/мл
Чувствительность: 3.1 пг/мл
Monoclonal Antibody to Nestin (NES) (MAA500Hu29)
Источник (хозяин): мышь
Реактивность подтвержденная: человек
Валидировано для: ICC, IF
Реактивность подтвержденная: человек
Валидировано для: ICC, IF
Porcine Melatonin ELISA kit (E07M0005)
Организм: свинья

