| UNIPROT | P55212 |
| Иммуноген | Рекомбинантный белок human Caspase-6 |
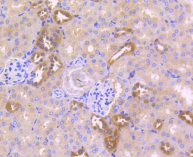
Caspase-6 Recombinant Rabbit mAb (ARM1017)
Реактивность подтвержденная:
человек, мышь, крыса
Источник (хозяин):
кролик
Валидировано для:
IHC
WB
Характеристики
Техническое описание
| Каталожный номер | ARM1017 |
| Название антигена | Caspase 6 (CASP6) |
| UNIPROT | P55212 |
| Иммуноген | Рекомбинантный белок human Caspase-6 |
| Английские синонимы | MCH2, Cysteinyl Aspartate Specific Proteinases 6, Caspase 6,Apoptosis-Related Cysteine Peptidase, Apoptotic protease Mch-2, CASP-6, Caspase-6 |
| Русские синонимы | каспаза-6 |
Реактивность подтвержденная Нужна другая реактивность? |
человек, мышь, крыса |
| Источник (хозяин) | кролик |
| Изотип | IgG |
| Клональность | моноклональное |
| Рекомбинантное | да |
| Готовое к использованию | нет |
| Концентрация | 1 мг/мл |
| Конъюгат | По запросу: HRP, biotin, Cy3, Cy5, APC, AF488, AF594, AF405 |
| Валидировано для | IHC WB Иммуногистохимия; Вестерн-блоттинг |
| Рекомендуемые разведения | WB 1:500~1:2000; IHC 1:50~1:200 |
| Метод очистки | Антигенспецифическая аффинная хроматография |
| Состав буфера | 50 нмоль Tris-Glycine(pH 7.4); 0.15M NaCl; 40% глицерин; 0.01% азид натрия и 0.05% БСА |
| Условия доставки | термобокс с аккумуляторами холода |
| Условия хранения | Сразу после получения аликвотировать и хранить при -20ºС до 12 месяцев с момента получения. Избегать повторения циклов замерзания/оттаивания |
| Срок хранения | 12 месяцев |
| Производитель | AssayVector |
|
Артикул
|
Наименование |
Производитель
|
|---|
|
Артикул
|
Наименование |
Производитель
|
|---|
|
Артикул
|
Наименование |
Производитель
|
|---|
|
Артикул
|
Наименование |
Производитель
|
|---|
|
Артикул
|
Наименование |
Производитель
|
|---|
Акции и предложения
Популярные продукты:
Monkey Caspase 6 ELISA kit (E09C0099)
Организм: обезьяна
Caspase-6 Recombinant Rabbit mAb (ARM1017)
Источник (хозяин): кролик
Реактивность подтвержденная: человек, мышь, крыса
Валидировано для: IHC, WB
Реактивность подтвержденная: человек, мышь, крыса
Валидировано для: IHC, WB
CRY1 Antibody (DF8932)
Источник (хозяин): кролик
Реактивность подтвержденная: человек, мышь, крыса
Валидировано для: IHC, WB
Реактивность подтвержденная: человек, мышь, крыса
Валидировано для: IHC, WB
Caspase 10 Antibody (DF6021)
Источник (хозяин): кролик
Реактивность подтвержденная: человек, мышь, крыса
Валидировано для: IHC, WB
Реактивность подтвержденная: человек, мышь, крыса
Валидировано для: IHC, WB
Eukaryotic Transferrin (TF) (EPC036Ca61)
Источник (хозяин): 293F
Организм: собака
Фрагмент: Val20-Ser705
Теги: N-концевой His-Tag
Биоактивность: нет
Организм: собака
Фрагмент: Val20-Ser705
Теги: N-концевой His-Tag
Биоактивность: нет
Polyclonal Antibody to Complement 1 Inhibitor (C1INH) (PAA235Ra02)
Источник (хозяин): кролик
Реактивность подтвержденная: крыса
Валидировано для: IHC, WB
Реактивность подтвержденная: крыса
Валидировано для: IHC, WB

