| UNIPROT | P32248 |
| Иммуноген | Синтетический пептид, соответствующий human CCR7 |
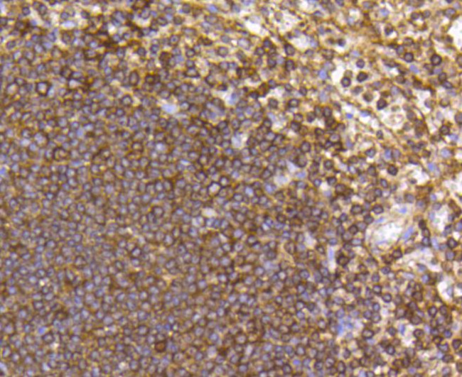
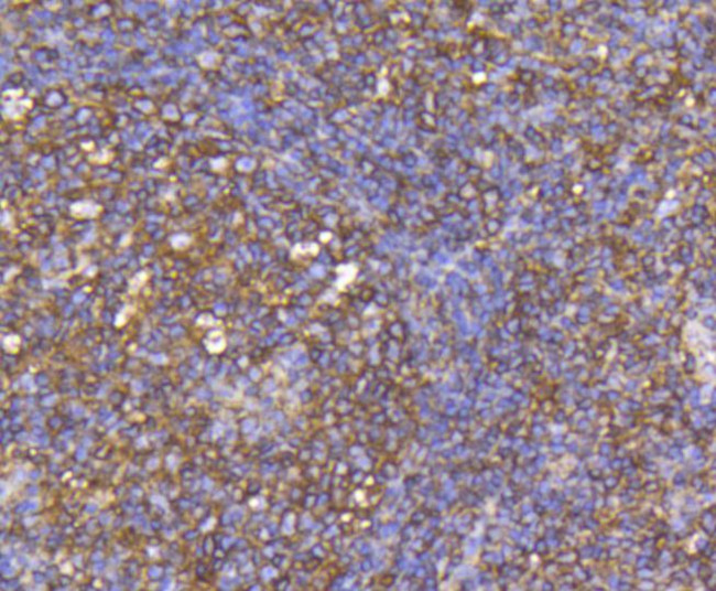
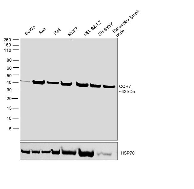
CCR7 Recombinant Rabbit mAb (ARM2285)
Реактивность подтвержденная:
человек, мышь, крыса
Источник (хозяин):
кролик
Валидировано для:
IP
WB
IF
ICC
Характеристики
Техническое описание
| Каталожный номер | ARM2285 |
| Название антигена | Chemokine C-C-Motif Receptor 7 (CCR7) |
| UNIPROT | P32248 |
| Иммуноген | Синтетический пептид, соответствующий human CCR7 |
| Английские синонимы | CD197, CD 197, CD-197, CCR7, BLR2, CDw197, CMKBR7, EBI1, Epstein-Barr Virus Induced Protein 1, EBV-induced G-protein coupled receptor 1, MIP-3 beta receptor |
| Русские синонимы | C-C рецептор хемокина 7 |
Реактивность подтвержденная Нужна другая реактивность? |
человек, мышь, крыса |
| Источник (хозяин) | кролик |
| Изотип | IgG |
| Клональность | моноклональное |
| Рекомбинантное | да |
| Готовое к использованию | нет |
| Концентрация | 1 мг/мл |
| Конъюгат | По запросу: HRP, biotin, Cy3, Cy5, APC, AF488, AF594, AF405 |
| Валидировано для | IP WB IF ICC Иммунопреципитация; Вестерн-блоттинг; Иммунофлуоресценция; Иммуноцитохимия |
| Рекомендуемые разведения | WB 1:500~1:2000; IF/ICC 1:50~1:200; IP 1:50 |
| Метод очистки | Антигенспецифическая аффинная хроматография |
| Состав буфера | 50 нмоль Tris-Glycine(pH 7.4); 0.15M NaCl; 40% глицерин; 0.01% азид натрия и 0.05% БСА |
| Условия доставки | термобокс с аккумуляторами холода |
| Условия хранения | Сразу после получения аликвотировать и хранить при -20ºС до 12 месяцев с момента получения. Избегать повторения циклов замерзания/оттаивания |
| Срок хранения | 12 месяцев |
| Производитель | AssayVector |
|
Артикул
|
Наименование |
Производитель
|
|---|
|
Артикул
|
Наименование |
Производитель
|
|---|
|
Артикул
|
Наименование |
Производитель
|
|---|
|
Артикул
|
Наименование |
Производитель
|
|---|
|
Артикул
|
Наименование |
Производитель
|
|---|
Акции и предложения
Популярные продукты:
Rabbit sphingosine 1-phosphate ELISA kit (E04S0454)
Организм: кролик
MBP Monoclonal Antibody (ELAB6201-M)
Источник (хозяин): мышь
Реактивность подтвержденная: человек
Валидировано для: IHC
Реактивность подтвержденная: человек
Валидировано для: IHC
CCR7 Recombinant Rabbit mAb (ARM2285)
Источник (хозяин): кролик
Реактивность подтвержденная: человек, мышь, крыса
Валидировано для: IP, WB, IF, ICC
Реактивность подтвержденная: человек, мышь, крыса
Валидировано для: IP, WB, IF, ICC
ANP32D Antibody (DF8770)
Источник (хозяин): кролик
Реактивность подтвержденная: человек
Валидировано для: WB
Реактивность подтвержденная: человек
Валидировано для: WB
Recombinant Collagen Type VI Alpha 1 (COL6a1) (RPC150Hu01)
Источник (хозяин): E.coli
Организм: человек
Фрагмент: Ala828-Ser1022
Теги: N-концевой His-Tag
Биоактивность: нет
Организм: человек
Фрагмент: Ala828-Ser1022
Теги: N-концевой His-Tag
Биоактивность: нет
Rabbit Anti-NeuN Antibody (SAA2241) (RHA00601)
Источник (хозяин): кролик
Реактивность подтвержденная: человек, мышь, крыса
Валидировано для: FCM, ICC, IF, IHC, WB
Реактивность подтвержденная: человек, мышь, крыса
Валидировано для: FCM, ICC, IF, IHC, WB

