| UNIPROT | Q9HBG7 |
| Иммуноген | Рекомбинантный белок human CD229 |
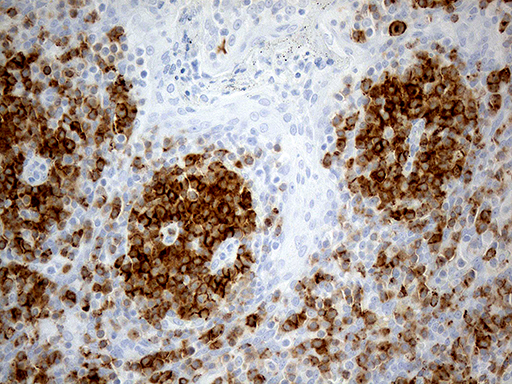
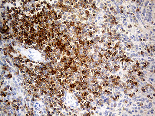
CD229 Recombinant Rabbit mAb (ARM2398)
Реактивность подтвержденная:
человек, мышь, крыса
Источник (хозяин):
кролик
Валидировано для:
IHC
WB
Характеристики
Техническое описание
| Каталожный номер | ARM2398 |
| Название антигена | Lymphocyte Antigen 9 (LY9) |
| UNIPROT | Q9HBG7 |
| Иммуноген | Рекомбинантный белок human CD229 |
| Английские синонимы | CD229, CD 229, CD-229, LY9, SLAMF3, Hly9, Mly9, Cell surface molecule Ly-9, Signaling lymphocytic activation molecule 3 |
Реактивность подтвержденная Нужна другая реактивность? |
человек, мышь, крыса |
| Источник (хозяин) | кролик |
| Изотип | IgG |
| Клональность | моноклональное |
| Рекомбинантное | да |
| Готовое к использованию | нет |
| Концентрация | 1 мг/мл |
| Конъюгат | По запросу: HRP, biotin, Cy3, Cy5, APC, AF488, AF594, AF405 |
| Валидировано для | IHC WB Иммуногистохимия; Вестерн-блоттинг |
| Рекомендуемые разведения | WB 1:500~1:2000; IHC 1:50~1:200 |
| Метод очистки | Антигенспецифическая аффинная хроматография |
| Состав буфера | 50 нмоль Tris-Glycine(pH 7.4); 0.15M NaCl; 40% глицерин; 0.01% азид натрия и 0.05% БСА |
| Условия доставки | термобокс с аккумуляторами холода |
| Условия хранения | Сразу после получения аликвотировать и хранить при -20ºС до 12 месяцев с момента получения. Избегать повторения циклов замерзания/оттаивания |
| Срок хранения | 12 месяцев |
| Производитель | AssayVector |
|
Артикул
|
Наименование |
Производитель
|
|---|
|
Артикул
|
Наименование |
Производитель
|
|---|
|
Артикул
|
Наименование |
Производитель
|
|---|
Акции и предложения
Популярные продукты:
InVivoMAb Anti-Human/Mouse/Rat CD47/IAP Antibody (MIAP410) (VMG17604)
Источник (хозяин): мышь
Реактивность подтвержденная: человек, мышь, крыса
Валидировано для: ELISA, FuncS
Реактивность подтвержденная: человек, мышь, крыса
Валидировано для: ELISA, FuncS
Anti-Proliferating Cell Nuclear Antigen (PCNA) Monoclonal Antibody (FAA591Hu02)
Источник (хозяин): мышь
Реактивность подтвержденная: человек
Валидировано для: FCM
Реактивность подтвержденная: человек
Валидировано для: FCM
Monoclonal Antibody to Perillaldehyde (PA) (MAV865Ge22)
Источник (хозяин): мышь
Реактивность подтвержденная: для всех
Валидировано для: ELISA
Реактивность подтвержденная: для всех
Валидировано для: ELISA
ELISA Kit for Guanine Nucleotide Binding Protein Q Polypeptide (GNAQ) (SEG548Hu)
Организм: человек
Диапазон определения: 0.156-10 нг/мл
Чувствительность: 0.058 нг/мл
Диапазон определения: 0.156-10 нг/мл
Чувствительность: 0.058 нг/мл
Rabbit GTPase NRas(NRAS) ELISA kit (E04G0453)
Организм: кролик
Chicken Attractin like protein 1(ATRNL1) ELISA kit (E12A1766)
Организм: курица

