| UNIPROT | P17927 |
| Иммуноген | Синтетический пептид, соответствующий human CD35 |
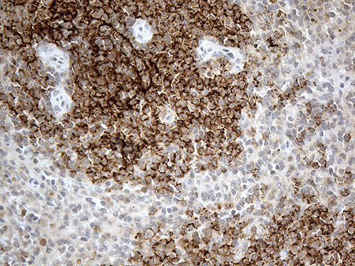
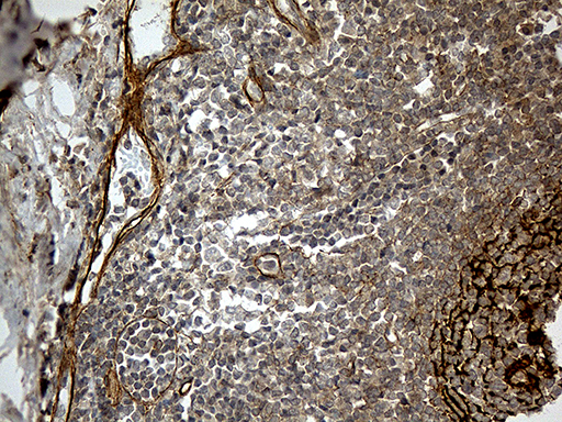
CD35 Recombinant Rabbit mAb (ARM2505)
Реактивность подтвержденная:
человек
Источник (хозяин):
кролик
Валидировано для:
IHC
WB
Характеристики
Техническое описание
| Каталожный номер | ARM2505 |
| Название антигена | Complement Receptor 1, Erythrocyte (CR1) |
| UNIPROT | P17927 |
| Иммуноген | Синтетический пептид, соответствующий human CD35 |
| Английские синонимы | CD35, CD 35, CD-35, C3BR, KN, C3b/C4b Receptor,Including Knops Blood Group System, Immune Adherence Receptor |
Реактивность подтвержденная Нужна другая реактивность? |
человек |
| Источник (хозяин) | кролик |
| Изотип | IgG |
| Клональность | моноклональное |
| Рекомбинантное | да |
| Готовое к использованию | нет |
| Концентрация | 1 мг/мл |
| Конъюгат | По запросу: HRP, biotin, Cy3, Cy5, APC, AF488, AF594, AF405 |
| Валидировано для | IHC WB Иммуногистохимия; Вестерн-блоттинг |
| Рекомендуемые разведения | WB 1:500~1:2000; IHC 1:50~1:200 |
| Метод очистки | Антигенспецифическая аффинная хроматография |
| Состав буфера | 50 нмоль Tris-Glycine(pH 7.4); 0.15M NaCl; 40% глицерин; 0.01% азид натрия и 0.05% БСА |
| Условия доставки | термобокс с аккумуляторами холода |
| Условия хранения | Сразу после получения аликвотировать и хранить при -20ºС до 12 месяцев с момента получения. Избегать повторения циклов замерзания/оттаивания |
| Срок хранения | 12 месяцев |
| Производитель | AssayVector |
|
Артикул
|
Наименование |
Производитель
|
|---|
|
Артикул
|
Наименование |
Производитель
|
|---|
Акции и предложения
Популярные продукты:
Monkey Mesothelin ELISA kit (E09M0519)
Организм: обезьяна
Monkey Alanine ELISA kit (E09A4348)
Организм: обезьяна
Monkey Plasminogen ELISA kit (E09P0127)
Организм: обезьяна
Monkey Prolactin ELISA kit (E09P0039)
Организм: обезьяна
Диапазон определения: 10-250 нг/мл
Чувствительность: 1 нг/мл
Диапазон определения: 10-250 нг/мл
Чувствительность: 1 нг/мл
Sheep Coagulation Factor II ELISA kit (E14F0193)
Организм: овца
Rabbit Oxidized lowdensity lipoprotein ELISA kit (E04O0341)
Организм: кролик
Диапазон определения: 0.5-10 нг/мл
Чувствительность: 0.1 нг/мл
Диапазон определения: 0.5-10 нг/мл
Чувствительность: 0.1 нг/мл

