| UNIPROT | Q99459 |
| Иммуноген | Рекомбинантный белок, соответствующий человеческому CDC5L |
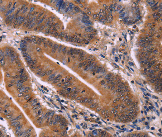
CDC5L Polyclonal Antibody (E-AB-10935)
Реактивность подтвержденная:
человек, мышь, крыса
Источник (хозяин):
кролик
Валидировано для:
IHC
Характеристики
Техническое описание
| Каталожный номер | E-AB-10935 |
| Название антигена | Cell Division Cycle Protein 5 Like Protein (CDC5L) |
| UNIPROT | Q99459 |
| Иммуноген | Рекомбинантный белок, соответствующий человеческому CDC5L |
| Английские синонимы | CEF1, PCDC5RP, hCDC5, CDC5, Pombe cdc5-related protein |
Реактивность подтвержденная Нужна другая реактивность? |
человек, мышь, крыса |
| Источник (хозяин) | кролик |
| Изотип | IgG |
| Клональность | поликлональное |
| Рекомбинантное | нет |
| Готовое к использованию | нет |
| Концентрация | 0.3 мг/мл |
| Конъюгат | нет |
| Валидировано для | IHC Иммуногистохимия |
| Рекомендуемые разведения | IHC 1:100-1:300 |
| Метод очистки | Аффинная хроматография |
| Состав буфера | PBS с 0.05% азид натрия и 50% глицерин, PH7.4 |
| RRID | AB_531074 |
| Условия доставки | термобокс с аккумуляторами холода |
| Условия хранения | Хранить при -20°C - 12 месяцев. Избегать повторяющихся циклов замораживания/оттаивания |
| Срок хранения | 12 месяцев |
| Производитель | Elabscience |
| Ссылка на страницу товара на сайте производителя | https://www.elabscience.com/p-cdc5l_polyclonal_antibody-e_ab_10935 |
|
Артикул
|
Наименование |
Производитель
|
|---|
|
Артикул
|
Наименование |
Производитель
|
|---|
|
Артикул
|
Наименование |
Производитель
|
|---|
Акции и предложения
Популярные продукты:
Multiplex Assay Kit for Mixed Lineage Kinase Domain Like Protein (MLKL) (LMR645Hu)
Организм: человек
Диапазон определения: 0.02-20 нг/мл
Чувствительность: 0.007 нг/мл
Диапазон определения: 0.02-20 нг/мл
Чувствительность: 0.007 нг/мл
Human Cancer/testis antigen 2(CTAG2) ELISA kit (E01C2141)
Организм: человек
Диапазон определения: 1-25 нг/мл
Чувствительность: 0.1 нг/мл
Диапазон определения: 1-25 нг/мл
Чувствительность: 0.1 нг/мл
Rat Alpha mannosidase 2C1(MAN2C1) ELISA kit (E02A1905)
Организм: крыса
Monkey Myocardin ELISA kit (E09M0532)
Организм: обезьяна
Rabbit Myocardin ELISA kit (E04M0532)
Организм: кролик
Human Myocardin ELISA kit (E01M0532)
Организм: человек

