Ваш браузер устарел и не обеспечивает полноценную и безопасную работу с сайтом. Пожалуйста обновите браузер чтобы улучшить взаимодействие с сайтом.
Мы обновили сайт, попробуйте новые функции в личном кабинете!

+7 (495) 798-02-48

CDH17 Antibody (DF3526)

Реактивность подтвержденная: человек, мышь
Источник (хозяин): кролик
Валидировано для:
IHC
WB
IF
ICC
Валидация Affinity DF3526 - 14461
Валидация Affinity DF3526 - 14461
Western blot analysis of extracts from mouse brain, using CDH17 Antibody.
Валидация Affinity DF3526 - 14462
Валидация Affinity DF3526 - 14462
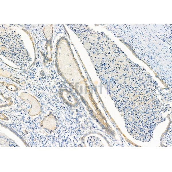
DF3526 at 1/100 staining Human gastric cancer by IHC-P. The sample was formaldehyde fixed and a heat mediated antigen retrieval step in citrate buffer was performed. The sample was then blocked and incubated with the primary antibody at 4ºС overnight. An HRP conjugated anti-Rabbit antibody was used as the secondary antibody.
Валидация Affinity DF3526 - 14463
Валидация Affinity DF3526 - 14463
DF3526 staining Hela by IF/ICC. The sample were fixed with PFA and permeabilized in 0.1% Triton X-100. Then blocked in 10% serum for 45 minutes at 25ºС. The primary antibody was diluted at 1/200 and incubated with the sample for 1 hour at 37ºС. An AlexaFluor594 conjugated goat anti-rabbit IgG (H+L) Ab, diluted at 1/600, was used as the secondary antibody.
Валидация Affinity DF3526 - 14461
Валидация Affinity DF3526 - 14462
Валидация Affinity DF3526 - 14463
Ближайшая поставка
29.05.26
Характеристики
Техническое описание
Каталожный номер DF3526
Название антигена Cadherin 17 (CDH17)
UNIPROT Q12864
Иммуноген Синтетический пептид, соответствующий human CDH17 во внутренней части белка
Английские синонимы CDH16, HPT-1, HPT1, LI-Cadherin, Cadherin,Liver Intestine, Intestinal peptide-associated transporter HPT-1, Liver-intestine cadherin
Реактивность подтвержденная
Нужна другая реактивность?
человек, мышь
Реактивность предсказываемая свинья, овца, собака
Источник (хозяин) кролик
Изотип IgG
Клональность поликлональное
Рекомбинантное нет
Готовое к использованию нет
Концентрация 1 мг/мл
Конъюгат нет
Валидировано для
IHC
WB
IF
ICC
Иммуногистохимия; Вестерн-блоттинг; Иммунофлуоресценция; Иммуноцитохимия
Рекомендуемые разведения WB: 1:500-1:1000; IF/ICC: 1:100-1:500; IHC: 1:50-1:200; Оптимальное разведение определяется конечным потребителем
Метод очистки Антисыворотку очищали методом аффинной хроматографии пептидов с использованием связывающей смолы SulfoLink® (Thermo Fisher Scientific)
Состав буфера Rabbit IgG в PBS; pH 7.4; 150mM NaCl; 0.02% азид натрия и 50% глицерин
RRID AB_2835880
Условия доставки Термобокс с аккумуляторами холода
Условия хранения Хранить при -20ºС. Стабилен 12 месяцев с даты получения
Срок хранения 12 месяцев
Производитель Affinity
Ссылка на страницу товара на сайте производителя https://www.affbiotech.com/goods-2654-DF3526-CDH17_Antibody.html

Назначение

поликлональное антитело от производителя Affinity к Cadherin 17 (CDH17) источник — кролик предназначено для детекции целевого антигена в биологических образцах. Продукт характеризуется подтвержденной реактивностью к человек, мышь.

Преимущества

  • Высокая специфичность и аффинность
  • Концентрация: 1 мг/мл
  • Оптимизированный состав буфера: Rabbit IgG в PBS; pH 7.4; 150mM NaCl; 0.02% азид натрия и 50% глицерин
  • Стабильность: 12 месяцев

Применение в исследованиях

Антитело валидировано для методов: IHC, WB, IF, ICC. Подходит для научных исследований в области иммунологии, клеточной биологии и молекулярной диагностики.

Условия хранения

Срок годности: 12 месяцев. Хранить при -20ºС. Стабилен 12 месяцев с даты получения. Рекомендуется соблюдать температурный режим при транспортировке и хранении.
UNIPROT Q12864
Иммуноген Синтетический пептид, соответствующий human CDH17 во внутренней части белка
Артикул
Наименование
Производитель
Артикул
Наименование
Производитель

С нами успешно сотрудничают:

Московский государственный университет им. Ломоносова
Московский государственный университет им. Ломоносова
Московский государственный университет им. Ломоносова
МФТИ
МФТИ
МФТИ
Центр вирусологии и биотехнологии „Вектор“
Центр вирусологии и биотехнологии „Вектор“
Центр вирусологии и биотехнологии „Вектор“
Институт физиологии имени Павлова
Институт физиологии имени Павлова
Институт физиологии имени Павлова
Сеченовский университет
Сеченовский университет
Сеченовский университет
Исследовательский центр им. Алмазова
Исследовательский центр им. Алмазова
Исследовательский центр им. Алмазова
BIOCAD
BIOCAD
BIOCAD
Университет Сириус
Университет Сириус
Университет Сириус
Р-Фарм
Р-Фарм
Р-Фарм
Сколтех
Сколтех
Сколтех
Курчатовский институт
Курчатовский институт
Курчатовский институт
ИБХ РАН
ИБХ РАН
ИБХ РАН
НИЦ эпидемиологии и микробиологии им. Н.Ф.Гамалеи
НИЦ эпидемиологии и микробиологии им. Н.Ф.Гамалеи
НИЦ эпидемиологии и микробиологии им. Н.Ф.Гамалеи
Томский НИМЦ
Томский НИМЦ
Томский НИМЦ
ФИЦ ВИЖ имени Л.К. Эрнста
ФИЦ ВИЖ имени Л.К. Эрнста
ФИЦ ВИЖ имени Л.К. Эрнста
Фонд "Наука - Детям"
Фонд "Наука - Детям"
Фонд "Наука - Детям"
Институт цитологии и генетики СО РАН
Институт цитологии и генетики СО РАН
Институт цитологии и генетики СО РАН
Генериум
Генериум
Генериум

Новости

0
0
0