| UNIPROT | P11802 |
| Иммуноген | Синтетический пептид, соответствующий human CDK4 во внутренней части белка |
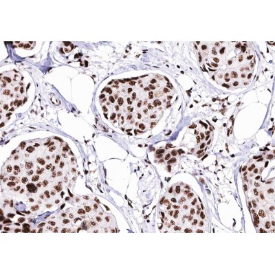
CDK4 Antibody (DF6102)
Реактивность подтвержденная:
человек, мышь, крыса
Источник (хозяин):
кролик
Валидировано для:
IHC
WB
Характеристики
Техническое описание
| Каталожный номер | DF6102 |
| Название антигена | Cyclin Dependent Kinase 4 (CDK4) |
| UNIPROT | P11802 |
| Иммуноген | Синтетический пептид, соответствующий human CDK4 во внутренней части белка |
| Английские синонимы | CMM3, PSK-J3, Cell division protein kinase 4 |
Реактивность подтвержденная Нужна другая реактивность? |
человек, мышь, крыса |
| Реактивность предсказываемая | свинья, рыба, корова, лошадь, овца, кролик, собака, лягушка |
| Источник (хозяин) | кролик |
| Изотип | IgG |
| Клональность | поликлональное |
| Рекомбинантное | нет |
| Готовое к использованию | нет |
| Концентрация | 1 мг/мл |
| Конъюгат | нет |
| Валидировано для | IHC WB Иммуногистохимия; Вестерн-блоттинг |
| Рекомендуемые разведения | WB: 1:500-1:2000; IHC: 1:50-1:200; Оптимальное разведение определяется конечным потребителем |
| Метод очистки | Антисыворотку очищали методом аффинной хроматографии пептидов с использованием связывающей смолы SulfoLink® (Thermo Fisher Scientific) |
| Состав буфера | Rabbit IgG в PBS; pH 7.4; 150mM NaCl; 0.02% азид натрия и 50% глицерин |
| RRID | AB_2838070 |
| Условия доставки | Термобокс с аккумуляторами холода |
| Условия хранения | Хранить при -20ºС. Стабилен 12 месяцев с даты получения |
| Срок хранения | 12 месяцев |
| Производитель | Affinity |
| Ссылка на страницу товара на сайте производителя | https://www.affbiotech.com/goods-4904-DF6102-CDK4_Antibody.html |
|
Артикул
|
Наименование |
Производитель
|
|---|
|
Артикул
|
Наименование |
Производитель
|
|---|
|
Артикул
|
Наименование |
Производитель
|
|---|
|
Артикул
|
Наименование |
Производитель
|
|---|
|
Артикул
|
Наименование |
Производитель
|
|---|
|
Артикул
|
Наименование |
Производитель
|
|---|
Акции и предложения
Популярные продукты:
Chicken Visinin like protein 1(VSNL1) ELISA kit (E12V0076)
Организм: курица
Bovine Coagulation Factor VII ELISA kit (E11F0014)
Организм: корова
Monkey Angiotensin 2 Receptor 1 Autoantibodies ELISA kit (E09A0207)
Организм: обезьяна
Monkey C C chemokine receptor type 10(CCR10) ELISA kit (E09C1453)
Организм: обезьяна
Recombinant Human LDHB protein (His tag) (PDEH100952)
Источник (хозяин): E.coli
Организм: человек
Фрагмент: Ala 2-Leu334
Теги: N-His
Биоактивность: нет
Организм: человек
Фрагмент: Ala 2-Leu334
Теги: N-His
Биоактивность: нет

