| UNIPROT | P50750 |
| Иммуноген | Синтетический пептид, соответствующий human Cdk9 |
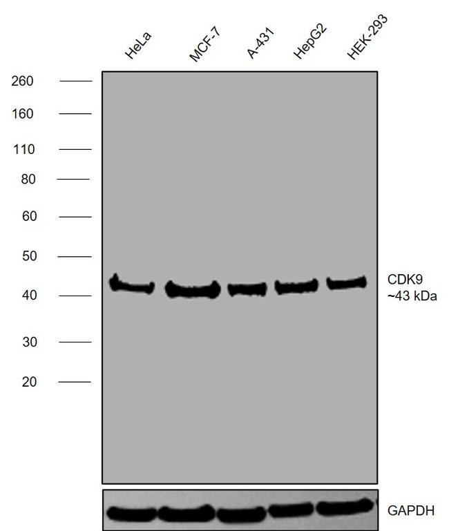
CDK9 Recombinant Rabbit mAb (ARM2424)
Реактивность подтвержденная:
человек, мышь, крыса
Источник (хозяин):
кролик
Валидировано для:
FCM
IP
WB
IF
ICC
Характеристики
Техническое описание
| Каталожный номер | ARM2424 |
| Название антигена | Cyclin Dependent Kinase 9 (CDK9) |
| UNIPROT | P50750 |
| Иммуноген | Синтетический пептид, соответствующий human Cdk9 |
| Английские синонимы | C-2k, CDC2L4, PITALRE, TAK, CDC2-Related Kinase, Cell division cycle 2-like protein kinase 4, Cell division protein kinase 9, Tat-associated kinase complex catalytic subunit |
Реактивность подтвержденная Нужна другая реактивность? |
человек, мышь, крыса |
| Источник (хозяин) | кролик |
| Изотип | IgG |
| Клональность | моноклональное |
| Рекомбинантное | да |
| Готовое к использованию | нет |
| Концентрация | 1 мг/мл |
| Конъюгат | По запросу: HRP, biotin, Cy3, Cy5, APC, AF488, AF594, AF405 |
| Валидировано для | FCM IP WB IF ICC Проточная цитометрия; Иммунопреципитация; Вестерн-блоттинг; Иммунофлуоресценция; Иммуноцитохимия |
| Рекомендуемые разведения | WB 1:500~1:2000; IF/ICC 1:50~1:200; FCM 1:50; IP 1:50 |
| Метод очистки | Антигенспецифическая аффинная хроматография |
| Состав буфера | 50 нмоль Tris-Glycine(pH 7.4); 0.15M NaCl; 40% глицерин; 0.01% азид натрия и 0.05% БСА |
| Условия доставки | термобокс с аккумуляторами холода |
| Условия хранения | Сразу после получения аликвотировать и хранить при -20ºС до 12 месяцев с момента получения. Избегать повторения циклов замерзания/оттаивания |
| Срок хранения | 12 месяцев |
| Производитель | AssayVector |
|
Артикул
|
Наименование |
Производитель
|
|---|
|
Артикул
|
Наименование |
Производитель
|
|---|
|
Артикул
|
Наименование |
Производитель
|
|---|
Акции и предложения
Популярные продукты:
Anti-Heat Shock Protein 90kDa Beta 1 (HSP90b1) Polyclonal Antibody (FAA823Hu01)
Источник (хозяин): кролик
Реактивность подтвержденная: человек
Валидировано для: FCM
Реактивность подтвержденная: человек
Валидировано для: FCM
Human Alpha methylacyl CoA racemase(AMACR) ELISA kit (E01A1414)
Организм: человек
Диапазон определения: 250-5000 пг/мл
Чувствительность: 1 пг/мл
Диапазон определения: 250-5000 пг/мл
Чувствительность: 1 пг/мл
Bovine Corneodesmosin ELISA kit (E11C0406)
Организм: корова
Human Apolipoprotein A5 ELISA kit (E01A0512)
Организм: человек
Диапазон определения: 1-25 мкг/мл
Чувствительность: 0.1 мкг/мл
Диапазон определения: 1-25 мкг/мл
Чувствительность: 0.1 мкг/мл
Porcine cytokein 19,CK 19 ELISA kit (E07C2329)
Организм: свинья

