| UNIPROT | O75390 |
| Иммуноген | Синтетический пептид, соответствующий human Citrate synthetase |
Citrate Synthetase Recombinant Rabbit mAb (ARM2220)
Реактивность подтвержденная:
человек, крыса
Источник (хозяин):
кролик
Валидировано для:
IHC
IP
WB
IF
ICC
Характеристики
Техническое описание
| Каталожный номер | ARM2220 |
| Название антигена | Citrate Synthase (CS) |
| UNIPROT | O75390 |
| Иммуноген | Синтетический пептид, соответствующий human Citrate synthetase |
| Английские синонимы | Citrate (Si)-synthase, mitochondrial |
Реактивность подтвержденная Нужна другая реактивность? |
человек, крыса |
| Источник (хозяин) | кролик |
| Изотип | IgG |
| Клональность | моноклональное |
| Рекомбинантное | да |
| Готовое к использованию | нет |
| Концентрация | 1 мг/мл |
| Конъюгат | По запросу: HRP, biotin, Cy3, Cy5, APC, AF488, AF594, AF405 |
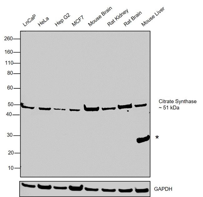
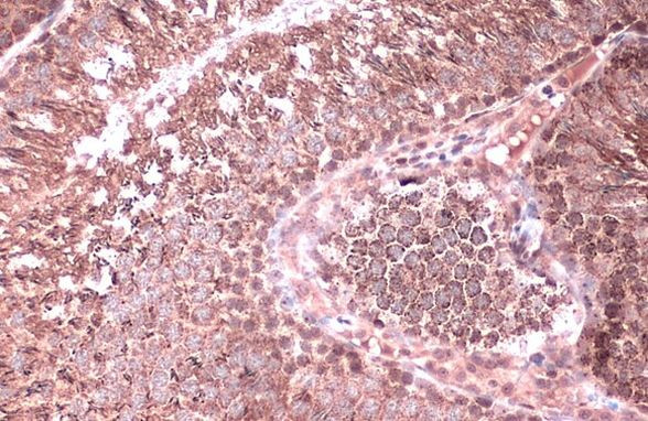
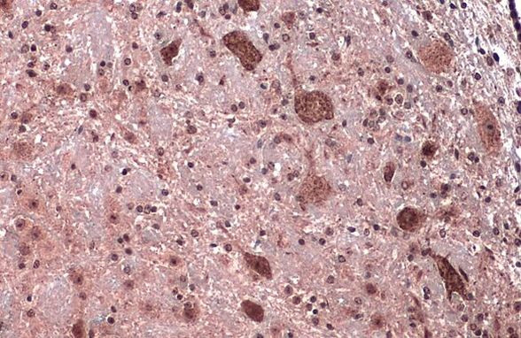
| Валидировано для | IHC IP WB IF ICC Иммуногистохимия; Иммунопреципитация; Вестерн-блоттинг; Иммунофлуоресценция; Иммуноцитохимия |
| Рекомендуемые разведения | WB 1:500~1:2000; IHC 1:50~1:200; IF/ICC 1:50~1:200; IP 1:50 |
| Метод очистки | Антигенспецифическая аффинная хроматография |
| Состав буфера | 50 нмоль Tris-Glycine(pH 7.4); 0.15M NaCl; 40% глицерин; 0.01% азид натрия и 0.05% БСА |
| Условия доставки | термобокс с аккумуляторами холода |
| Условия хранения | Сразу после получения аликвотировать и хранить при -20ºС до 12 месяцев с момента получения. Избегать повторения циклов замерзания/оттаивания |
| Срок хранения | 12 месяцев |
| Производитель | AssayVector |
|
Артикул
|
Наименование |
Производитель
|
|---|
|
Артикул
|
Наименование |
Производитель
|
|---|
|
Артикул
|
Наименование |
Производитель
|
|---|
|
Артикул
|
Наименование |
Производитель
|
|---|
|
Артикул
|
Наименование |
Производитель
|
|---|
Акции и предложения
Популярные продукты:
OVA Conjugated Peptide YY (PYY) (CPB067Mu21)
Организм: мышь
Теги: N-концевой His-Tag
Биоактивность: нет
Теги: N-концевой His-Tag
Биоактивность: нет
ELISA Kit DIY Materials for Interferon Beta (IFNb) (KSA222Mu01)
Организм: мышь
Диапазон определения: 15.6-1000 пг/мл
Чувствительность: 5.7 пг/мл
Диапазон определения: 15.6-1000 пг/мл
Чувствительность: 5.7 пг/мл
Monkey Succinic Acid ELISA Kit (E09S0475)
Организм: обезьяна
Rabbit Copine 1(CPNE1) ELISA kit (E04C2010)
Организм: кролик
Goat Proteoglycan 4 ELISA kit (E06P0163)
Организм: коза
Rat Proteoglycan 4 ELISA kit (E02P0163)
Организм: крыса

