| UNIPROT | O15551 |
| Иммуноген | Синтетический пептид, соответствующий human Claudin 3 |
Claudin 3 Recombinant Rabbit mAb (ARM1414)
Реактивность подтвержденная:
человек
Источник (хозяин):
кролик
Валидировано для:
FCM
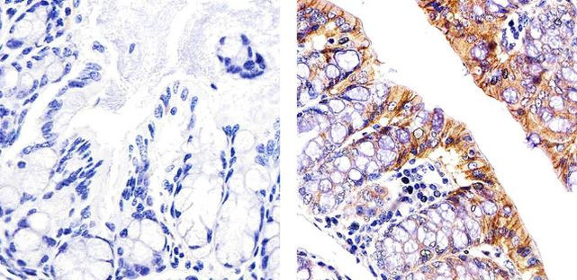
IHC
IP
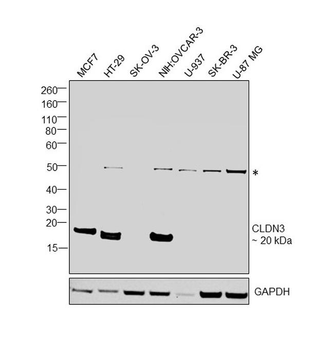
WB
IF
ICC
Характеристики
Техническое описание
| Каталожный номер | ARM1414 |
| Название антигена | Claudin 3 (CLDN3) |
| UNIPROT | O15551 |
| Иммуноген | Синтетический пептид, соответствующий human Claudin 3 |
| Английские синонимы | C7orf1, CPE-R2, CPETR2, HRVP1, RVP1, Clostridium Perfringens Enterotoxin Receptor 2, Ventral Prostate.1-Like Protein, CPE-Receptor 2 |
Реактивность подтвержденная Нужна другая реактивность? |
человек |
| Источник (хозяин) | кролик |
| Изотип | IgG |
| Клональность | моноклональное |
| Рекомбинантное | да |
| Готовое к использованию | нет |
| Концентрация | 1 мг/мл |
| Конъюгат | По запросу: HRP, biotin, Cy3, Cy5, APC, AF488, AF594, AF405 |
| Валидировано для | FCM IHC IP WB IF ICC Проточная цитометрия; Иммуногистохимия; Иммунопреципитация; Вестерн-блоттинг; Иммунофлуоресценция; Иммуноцитохимия |
| Рекомендуемые разведения | WB 1:500~1:2000; IHC 1:50~1:200; IF/ICC 1:50~1:200; FCM 1:50; IP 1:50 |
| Метод очистки | Антигенспецифическая аффинная хроматография |
| Состав буфера | 50 нмоль Tris-Glycine(pH 7.4); 0.15M NaCl; 40% глицерин; 0.01% азид натрия и 0.05% БСА |
| Условия доставки | термобокс с аккумуляторами холода |
| Условия хранения | Сразу после получения аликвотировать и хранить при -20ºС до 12 месяцев с момента получения. Избегать повторения циклов замерзания/оттаивания |
| Срок хранения | 12 месяцев |
| Производитель | AssayVector |
|
Артикул
|
Наименование |
Производитель
|
|---|
|
Артикул
|
Наименование |
Производитель
|
|---|
|
Артикул
|
Наименование |
Производитель
|
|---|
|
Артикул
|
Наименование |
Производитель
|
|---|
Акции и предложения
Популярные продукты:
Monkey Phosphoglycee kinase 2(PGK2) ELISA kit (E09P0843)
Организм: обезьяна
Monkey Claudin 3(CLDN3) ELISA kit (E09C0987)
Организм: обезьяна
Human Claudin 3(CLDN3) ELISA kit (E01C0987)
Организм: человек
Диапазон определения: 1-25 нг/мл
Чувствительность: 0.1 нг/мл
Диапазон определения: 1-25 нг/мл
Чувствительность: 0.1 нг/мл
Chicken Claudin 2(CLDN2) ELISA kit (E12C0983)
Организм: курица
Guinea Pig Apoptosis inhibitor 5(API5) ELISA kit (E05A1590)
Организм: морская свинка
Human Early B-Cell Factor 3 ELISA kit (E01E0214)
Организм: человек

